概述
脑外伤是一种严重的脑损害,脑外伤可造成脑挫裂伤、脑内血肿、硬膜外血肿等损害,需根据具体情况选择治疗方式。
影像学表现
脑外伤是一种严重的脑损害,可造成脑挫裂伤、脑内血肿、硬膜外血肿,产生眩晕、恶心,甚至昏迷等表现,影像学表现存在差异,具体如下:
脑挫裂伤:CT平扫显示低密度脑水肿区内,散布斑点状高密度出血灶,伴有占位效应,也可表现为广泛性脑水肿或脑内血肿。

脑内血肿:脑外伤导致的脑内血肿,在CT平扫时显示急性脑内血肿,呈边界清楚的类圆形高密度灶。

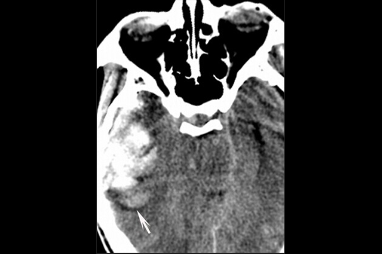
硬膜外血肿:CT平扫表现为颅板下方梭形或半圆形高密度灶,多位于脑外伤导致的骨折附近,不跨越颅缝。

治疗
脑外伤需要根据具体情况选择治疗方式,脑挫裂伤的治疗通常采用非手术疗法,维持呼吸和循环功能的稳定,保持昏迷患者的气道畅通,纠正休克,注意防止水、电解质和酸碱失衡。脑挫裂伤均合并不同程度的脑水肿,应予以脱水降颅压处理。脑内血肿、硬膜外血肿都属于颅内血肿,可根据血肿大小、症状体征严重程度分别采用非手术治疗和手术治疗,可以进行颅内探查,清除血肿。
参考文献
[1]徐克,龚启勇,韩萍.医学影像学.第8版[M].北京.人民卫生出版社.2018.57-59.
[2]赵玉沛,陈孝平.外科学(上册).第3版[M].北京.人民卫生出版社.2015.266-276.
[3]周良辅.现代神经外科学.第2版[M].上海.复旦大学出版社.2015.363.
展开
