概述
怀孕一个月左右,多数人可能经B超无法在宫腔内看到孕囊,少部分人可能看到直径1-2cm的圆形或椭圆形的孕囊。
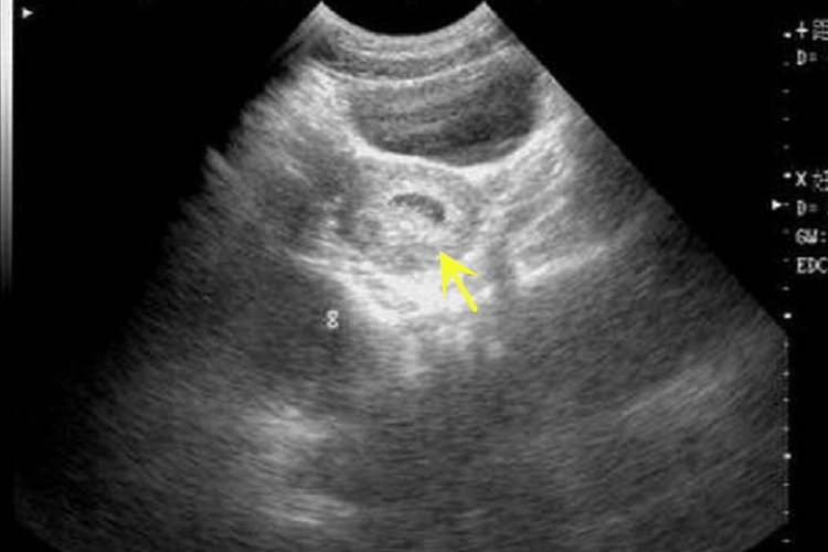
表现
一个月左右的孕囊,一般指怀孕4-5周的孕囊,此时的孕囊的形态可为直径1-2cm的圆形或椭圆形的囊状结构。但大部分人群无法在此阶段通过B超检查观察到孕囊,小部分人群可以经B超在宫腔内看到孕囊,为宫底部较高回声的环状影。

注意事项
怀孕一个月左右,属于妊娠早期,此时要注意休息,加强营养,多食富含维生素、微量元素、蛋白质的食物,多摄入富含叶酸的食物并遵医嘱补充叶酸。并且应注意严格戒烟、禁酒,远离可产生污染或辐射的场所,以免影响胚胎发育。
参考文献
[1]严滨,吕恽怡.妇产科学 高级医师进阶.第1版[M].北京.中国协和医科大学出版社.2016.26.
[2]徐克,龚启勇,韩萍.医学影像学.第8版[M].北京.人民卫生出版社.2018.262.
[3]谢幸,孔北华,段涛.妇产科学.第9版[M].北京.人民卫生出版社.2018.58.
展开
