概述
副肿瘤性天疱疮可在口腔出现糜烂,大小不等,边界较清晰,自觉有疼痛感,可能与肿瘤诱导产生自身抗体有关,需遵医嘱治疗。
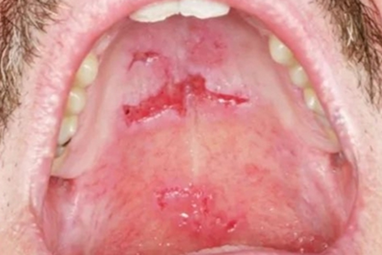
症状
副肿瘤性天疱疮可累及口腔,出现局部糜烂,形状不规则,大小不等,糜烂面呈红色或粉红色,与周围黏膜边界较清晰,患者自觉有疼痛感。

病因
副肿瘤性天疱疮确切的发病原因,可能与伴发肿瘤诱导产生自身抗体对皮肤黏膜的损害有关。常见的良恶性肿瘤均可发生副肿瘤性天疱疮,最常见的是非霍奇金淋巴瘤、慢性淋巴细胞性白血病和Castleman病,其他有胸腺瘤、肉瘤等。
治疗
副肿瘤性天疱疮的治疗包括手术治疗、药物治疗、一般治疗等方面。
手术治疗:副肿瘤性天疱疮治疗的主要措施为积极控制肿瘤,早期筛查及完整手术切除是治疗的关键。对于良性肿瘤宜遵医嘱尽早手术完整切除,通常可以减轻甚至完全缓解症状。
药物治疗:遵医嘱使用大剂量的激素仍是最重要的治疗手段之一,其常与环孢素、硫唑嘌呤、环磷酰胺、利妥昔单抗等药物联合应用。要密切注意糖皮质激素的不良反应,如消化道出血、诱发感染、骨质疏松、高血压、高血糖等,用免疫抑制剂要定期查血常规、肝肾功能。
一般治疗:副肿瘤性天疱疮的患者治疗过程中拒食,加上皮损消耗,一般都伴有低蛋白血症,全身抵抗力差,易感染,而呼吸衰竭被认为是普遍的终点事件,应积极加强吸氧、抗感染等治疗,预防与减少阻塞性细支气管炎的发生,常见死亡原因多为脓毒败血症、胃肠道出血、呼吸衰竭等。
参考文献
[1]吴悠,范媛.副肿瘤性天疱疮的研究进展[J].口腔医学,2016,36(7):645-648.
[2]穆震总.新编皮肤病学[M].西安:西安交通大学出版社,2018:318.
展开
