概述
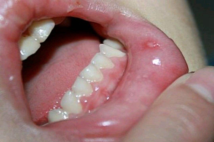
宝宝手足口病初期表现为低热,手、足、口部位出现红色斑疹,并迅速发展成水疱。
柯萨奇病毒是手足口病致病的主要病原体,此肠道病毒71型也可致病。
症状
宝宝手足口病的潜伏期为3-7天,宝宝初期患者可有不同程度的低热、纳差等前驱症状,1-3天后手、足、口部出现皮损。初期为红色斑疹,很快发展为2-4mm大小的水疱,疱壁薄,疱液清亮,周围绕以红晕。



病因
柯萨奇病毒A16型病毒为本病最常见的病原微生物,肠道病毒71型和其他柯萨奇病毒,如A5、A7、A9、A10、B3、B5也可引起。发生肠道病毒71型感染时,可合并中枢神经系统损害。本病主要经粪-口途径传播,亦可通过飞沫经呼吸道传播,疱液、咽部分泌物和粪便中均可分离出病毒。
治疗
宝宝手足口病主要以对症、支持治疗为主,初期对症治疗,可选用抗病毒药物,如利巴韦林等。口腔损害可用口腔溃疡涂膜剂或利多卡因液漱口等以减轻疼痛;皮损处可外用炉甘石洗剂;板蓝根颗粒内服有一定效果。
参考文献
[1]张学军,郑捷.皮肤性病学.第9版[M].北京.人民卫生出版社.2018:73.
[2]朴永君.皮肤性病学 高级医师进阶.第1版[M].北京.中国协和医科大学出版社.2016:157.
展开
