概述
疱疹样皮炎可累及腹部,局部出现红斑,边界清楚,可相互融合,伴有剧痒、烧灼感,病因尚未完全清楚,可遵医嘱进行系统治疗。
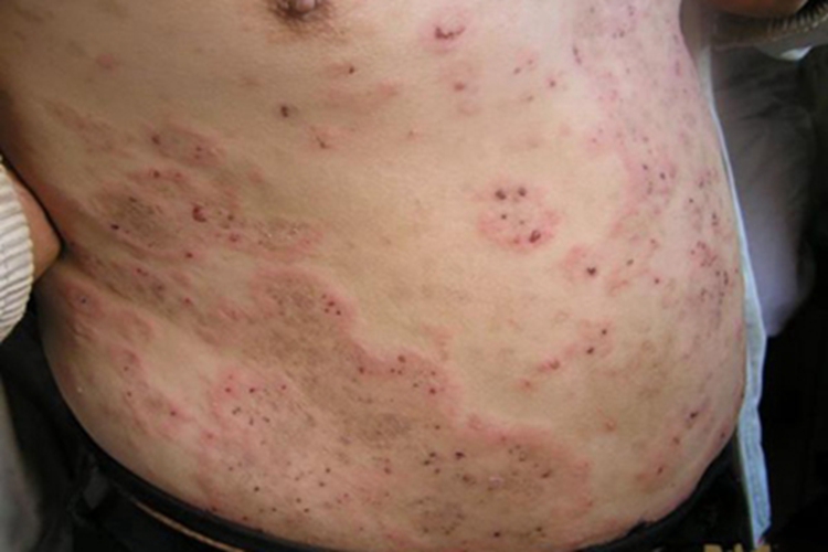
症状
疱疹样皮炎的皮肤损害可发生在腹部,临床可表现为局部出现红斑,大小不等,可相互融合成环形或地图形,略高于皮肤表面,边缘清晰,在其基础上有多个丘疹,部分丘疹破溃后出现褐色或黑色结痂,患者自觉剧痒,甚至烧灼或疼痛感。

病因
疱疹样皮炎病因尚未完全清楚,可能是一种和遗传易感性有关的免疫性疾病。患者常伴发谷胶敏感性肠病,通常在摄入谷胶或蛋白质后导致组织损伤。
治疗
疱疹样皮炎患者应严格限制谷胶摄入,除大米外许多食物含有谷胶,饮食限制至少6个月。可服用氨苯砜、柳氮磺吡啶等进行系统治疗,用药期间需多饮水,监测肾功能。同时可局部外用止痒药物以及抗生素,预防继发感染,治疗时需遵医嘱进行。
参考文献
[1]张建中,高兴华.皮肤性病学.第1版[M].北京.人民卫生出版社.2015.268-269.
[2]朴永君.皮肤性病学高级医师进阶.第1版[M].北京.中国协和医科大学出版社.2016.286.
展开
