概述
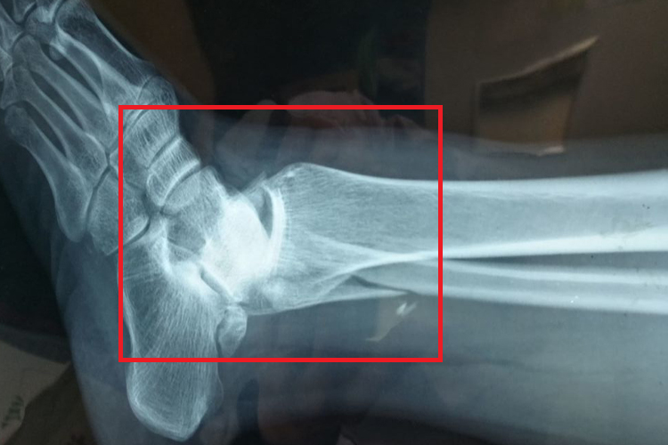
脚踝骨折的患者伤处明显肿胀,局限性压痛、淤斑,会出现内翻或外翻畸形,活动障碍。应及时就医,X线可清晰显示踝部骨折情况。
脚踝骨折
脚踝骨折的患者伤处会有明显的肿胀,局限性压痛、淤斑,出现内翻或外翻畸形,以及不同程度的活动障碍。X线可清晰显示踝部骨折情况,侧位可见前距腓韧带完全断裂,外侧韧带前束和中束断裂出现距骨倾斜。

治疗原则
无移位的内踝骨折一般采用石膏固定治疗。有移位的内踝骨折应采取手术治疗,因为持续的移位可以造成距骨倾斜并导致足内翻畸形。松质骨拉力螺钉或者钢丝张力带即可获得满意的固定效果。内踝手术切口位于内踝前方或后方,术中注意保护大隐静脉和隐神经。
参考文献
[1]sonin.manaster著;赵斌译.创伤性骨肌诊断影像学[M].济南:山东科学技术出版社,2018.04.
[2]唐应丽主编.现代临床护理技术与实践下[M].长春:吉林科学技术出版社,2017.05.386-387.
展开
