概述
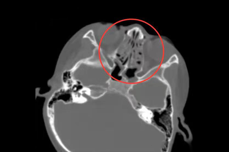
鼻炎CT片子表现为鼻腔黏膜增生、肥厚,以及鼻甲肥大,鼻腔鼻窦可有积液。
鼻炎CT检查主要见于慢性肥厚性鼻炎、变应性鼻炎,可选择药物、手术方法治疗。
CT表现
鼻炎CT检查主要见于慢性肥厚性鼻炎、变应性鼻炎,可根据其CT表现由医生区分判断。
慢性肥厚性鼻炎:慢性肥厚性鼻炎患者发病时,CT检查可见鼻腔黏膜增生、肥厚,下鼻甲肿大,骨质增生,鼻腔狭窄,部分患者可伴有鼻腔结构异常。

变应性鼻炎:变应性鼻炎患者发病时,CT检查可见鼻甲肥大,窦腔黏膜肥厚,鼻腔通气截面积缩小,鼻腔鼻窦可有少量积液。

治疗
慢性肥厚性鼻炎、变应性鼻炎的主要治疗方式存在差异,用药需遵医嘱。
慢性肥厚性鼻炎:慢性肥厚性鼻炎以手术治疗为主,多在鼻内镜下进行。药物治疗可鼻腔局部使用血管收缩剂和糖皮质激素鼻喷剂,使用药物时一定注意规范用药,避免引起药物性鼻炎。
变应性鼻炎:变应性鼻炎患者应注意避免过敏原,治疗方式主要采用药物治疗,抗组胺药及鼻用糖皮质激素药物为主要治疗药物,可根据症状表现采用阶梯式用药。
参考文献
[1]迟放鲁,上海市医师协会组编.医师考核培训规范教程.耳鼻咽喉科分册[M].上海.上海科学技术出版社,2016.119-121.
[2]李明亚编.临床药物治疗学[M].北京.中国医药科技出版社,2015.459.
展开
