概述
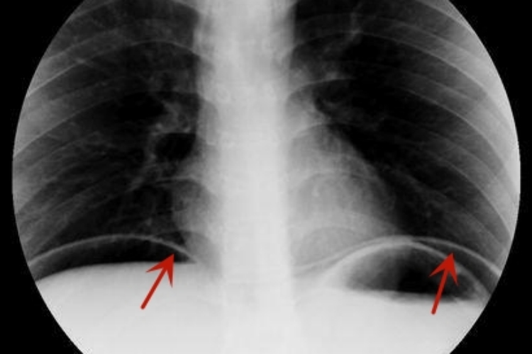
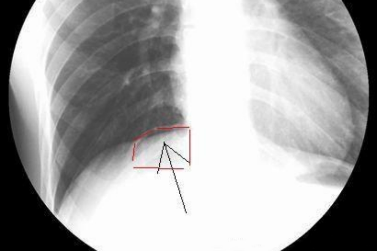
肠穿孔常表现为持续性的腹痛,腹部X线可发现膈下有游离气体,单侧或双侧,表现为线条状、新月状的透亮影,边缘清楚。
X线表现
肠穿孔的主要X线征象为腹腔内游离气体,立位X线检查可见膈下游离气体,单侧或者双侧,表现为线条状、新月状的透亮影,边缘清楚。右侧透亮影的下缘为致密光滑的肝脏影,左侧新月状透亮影下内为胃泡影,外下方为脾脏影。大量气腹时可见双膈位置升高,内脏向下、内移,从而衬托出肝、脾、胃等脏器的外形轮廓。


治疗
肠穿孔患者应及时就医,在医师指导下进行干预治疗,及时进行腹腔镜手术以修补穿孔,并积极处理原发病灶。术后给予抗感染药物控制腹腔感染,并进行腹腔减压,静脉输液以纠正水电解质紊乱。
参考文献
[1]段志军.内科学.高级医师进阶.第1版[M].北京.中国协和医科大学出版社.2016.710.
[2]于学林,张艳伟,史勇跃等主编.现代急诊影像诊断手册[M].北京.科学技术文献出版社.2018.138-139.
展开
