概述
儿童牙齿被肉包住可表现为牙龈向边缘龈扩展,覆盖部分牙面,伴或不伴有疼痛症状。
儿童牙齿被肉包住可能是由药物性牙龈肥大、肉芽肿型牙龈瘤等原因引起。
症状
药物性牙龈肥大、肉芽肿型牙龈瘤等均可表现为儿童牙齿被肉包住的现象,同时还可伴有其他症状。
药物性牙龈肥大
增生起始于唇颊侧或舌腭侧龈乳头,呈小球状突起于牙龈表面。增生的龈乳头可呈球状、结节状,牙龈表面呈桑葚状或分叶状,增生牙龈基底与正常牙龈之间可有明显的沟状界线。增生牙龈可向边缘龈扩展,覆盖部分牙面。牙龈呈淡粉红色,质地坚韧,略有弹性,一般不易出血。

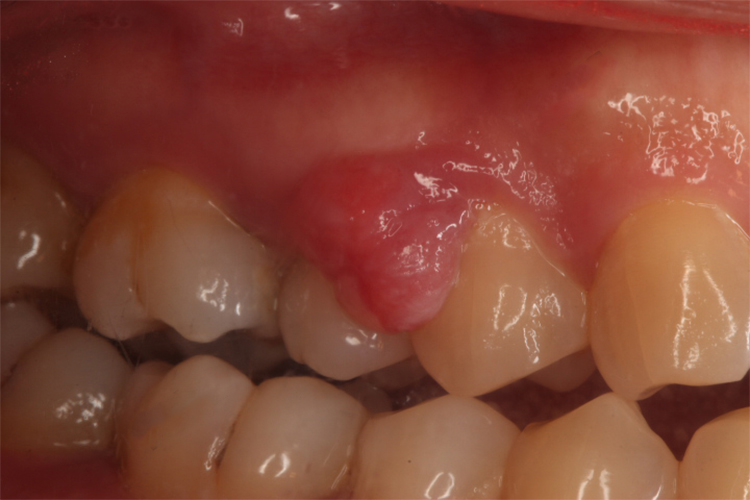
肉芽肿型牙龈瘤
最常见的部位是前磨牙区,肿块较局限,呈圆形或椭圆形,有时呈分叶状。大小不一,直径数毫米至数厘米。有蒂者呈息肉状,无蒂者基底宽广。较大的肿块可遮盖部分牙及牙槽突,表面呈红色或暗红色,质地一般较软,触时易出血。

病因
儿童牙齿被肉包住可见于由药物性牙龈肥大、肉芽肿型牙龈瘤等疾病,可由不同病因引起。前者主要与服用药物有关,后者可能与局部刺激,如菌斑、牙石、食物嵌塞或不良修复体等的刺激有关。
治疗
需要在医生指导下,根据病因采取针对性治疗措施。
药物性牙龈肥大
可采用牙周基础治疗,对于牙周治疗后牙龈肥大状况改善不明显者应在内科医师的协助下停药或更换其他药物,也可采取药物交替使用等方法,以减轻副作用。通过洁牙、刮治去除局部刺激因素,并配合局部药物治疗。在全身病情稳定时,可进行手术切除并修整牙龈外形。
肉芽肿型牙龈瘤
主要治疗方法是手术切除。切除必须彻底,否则易复发。复发后一般仍需手术切除,若复发次数多,即使病变波及的牙无松动,也应将牙拔除,防止再发。
参考文献
[1]张志愿.口腔科学.第9版[M].北京.人民卫生出版社.2018.65.
[2]孟焕新.牙周病学.第5版[M].北京.人民卫生出版社.2020.141.
[3]北京医师协会.口腔科诊疗常规[M].中国医药科技出版社.2020.261.
