概述
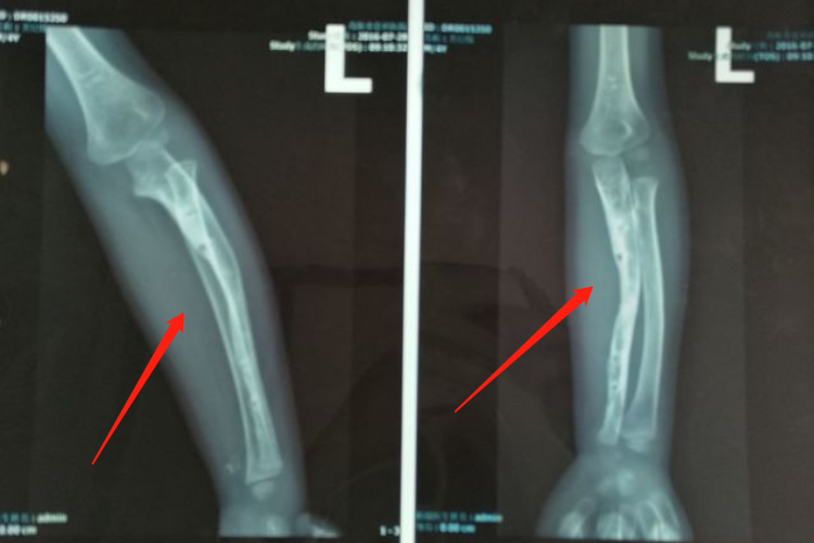
骨痂是骨延长愈合过程中新形成的连接骨折两端的骨组织,骨延长骨痂生长过程中先形成纤维骨痂再形成骨性骨痂。
形成过程
在骨延长术后两周左右,由于早期大量的纤维细胞、成骨细胞等增殖活动,分泌出大量基质、成纤维细胞和成骨细胞,形成纤维骨痂,可包围并固定骨两端。
纤维骨痂形成后,成骨细胞活跃,分泌出均质透明的类骨基质,继之形成类骨组织,而后钙质在类骨基质间不断沉积形成骨组织,此时骨痂称为骨性骨痂。






注意事项
骨延长术后长骨痂时,应注意营养的补充,以增加骨中钙和磷的吸收,促进骨痂修复。在日常生活中患者要注意补充含钙的食物。
参考文献
[1]郑敏娜,孟磊,苏晗主编.老年康复护理[M].武汉.华中科学技术大学出版社.2021.01.129.
[2]李景煜主编.骨科实用框架固定学[M].沈阳.辽宁科学技术出版社.2016.553-554.
展开
