概述
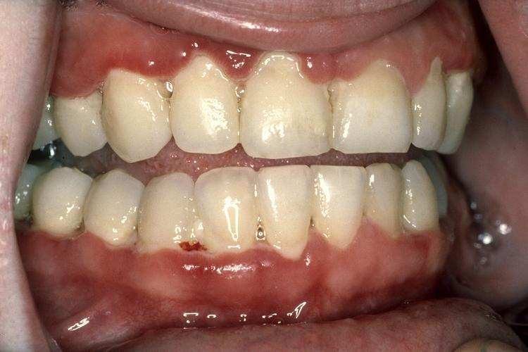
牙龈溃疡表现为龈缘如虫蚀状、糜烂、牙龈红肿,探查时易出血等症状。与细菌感染或不良刺激有关,需及时就诊治疗。
症状
牙龈溃烂原因较多,主要见于急性坏死性溃疡性龈炎、慢性牙周炎、慢性牙龈炎等情况。其症状有所区别。
急性坏死性溃疡性龈炎:以龈乳头和龈缘的坏死为其特征性损害,尤以下前牙多见,个别龈乳头顶端可发生坏死性溃疡,上覆有灰白色坏死物,中央凹下如火山口状。龈缘如虫蚀状,坏死区出现灰褐色假膜,擦去后可见出血创面。病损一般不波及附着龈。患处牙龈极易出血,甚至有自发性出血。患者疼痛明显并有典型的腐败性口臭。

慢性牙周炎:牙面常有大量牙石,牙龈呈现不同程度的慢性炎症,颜色呈鲜红或暗红色,质地松软,点彩消失,牙龈水肿。探诊出血甚至溢脓。早期已有牙周袋和牙槽骨吸收,程度较轻,牙尚不松动。晚期深牙周袋形成后,牙松动,咀嚼无力或疼痛,甚至发生急性牙周脓肿。

慢性牙龈炎:部分慢性牙龈炎者可见龈缘糜烂或有肉芽增生,牙龈组织水肿、松软、脆弱,同时龈沟探查深度>3mm,可出现出血现象,且龈沟液量增多。

原因
急性坏死性溃疡性龈炎引起的牙龈溃烂与梭形杆菌感染有关,引起龈缘和龈乳头的急性炎症和坏死。
慢性牙周炎、慢性牙龈炎引起牙龈溃烂的原因,与牙菌斑、牙石、食物嵌塞、不良修复体等局部刺激有关,可加重病原菌侵袭牙周组织,导致胶原破坏、结合上皮向根方繁殖、牙周袋形成或牙槽骨吸收、牙龈慢性炎症性改变。
治疗
对于急性坏死性溃疡性龈炎引起的牙龈溃烂,可遵医嘱使用过氧化氢溶液、甲硝唑片等药物抗感染治疗,急性期过后使用刮治手术治疗。
慢性牙周炎、慢性牙龈炎引起的牙龈溃烂应先清除牙菌斑,之后根据个人情况进行牙周翻瓣手术、牙周引导组织再生手术进行治疗,对于牙齿松动者可通过正畸治疗来矫正错颌或病理移位的患牙。
参考文献
[1]张志愿.口腔科学.第9版[M].北京.人民卫生出版社.2018.66-68.
[2]刘秦鹏.现代临床外科疾病诊断与治疗[M].天津科学技术出版社.2020.177-179.
