概述
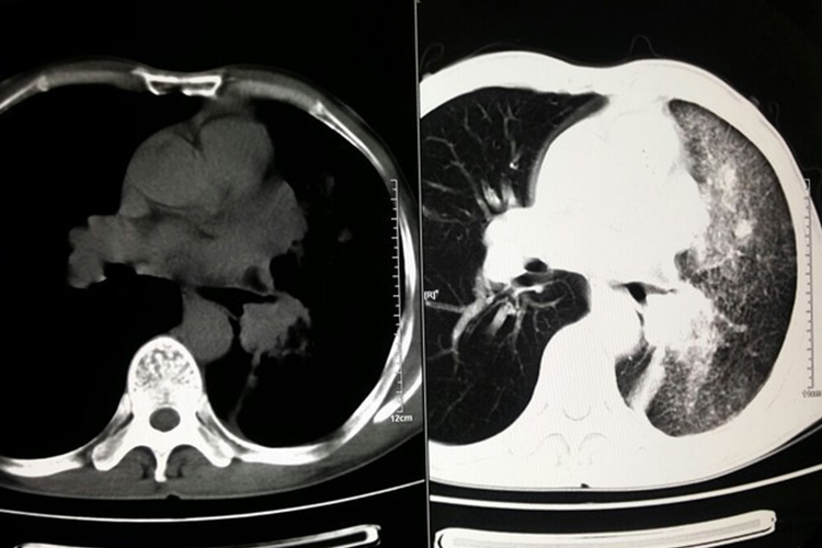
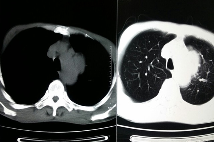
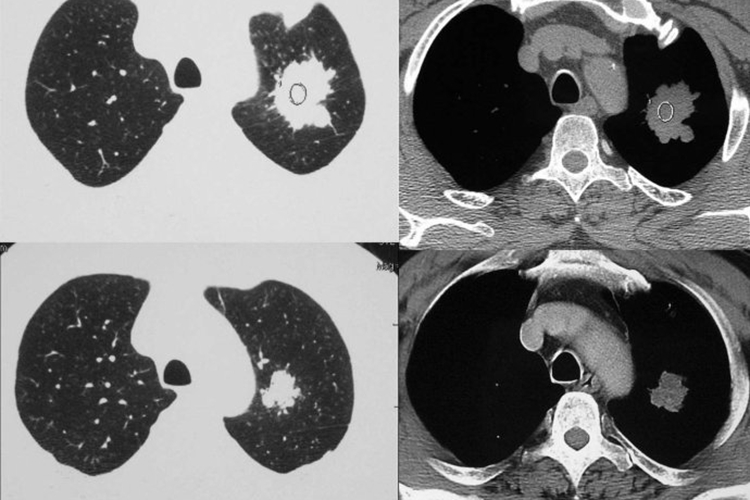
肺癌又称原发性支气管肺癌,临床常见咳嗽、血痰、胸痛、发热等症状。CT检查可见肺内结节或肿块,病灶形态不规则,可呈分叶状。
症状
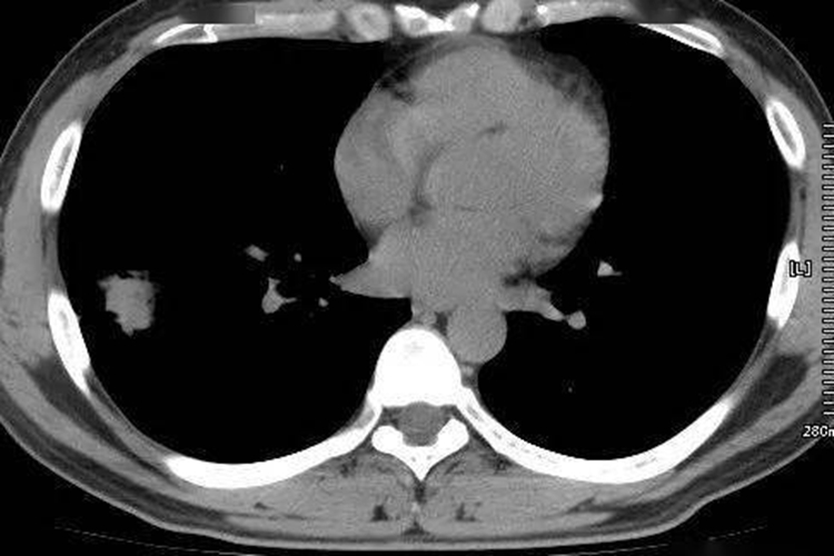
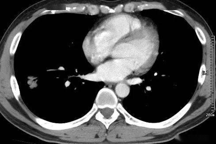
肺癌又称原发性支气管肺癌,临床常见咳嗽、血痰、胸痛、发热、气促等症状。影像学表现可分为中央型肺癌和周围型肺癌两种,具体如下:
中央型肺癌:发生在肺段和段以上支气管,表现为病变处支气管壁增厚、支气管腔狭窄;肺门出现形态不规则的软组织肿块;远端肺组织阻塞性改变,包括阻塞性肺炎、肺不张,表现为远端肺组织实变,或肺叶、肺段均匀性密度增高,伴肺纹理聚拢、体积缩小或右肺上叶不张时,下缘形成反“S”征。


周围型肺癌:发生在肺段以下支气管,表现为肺内结节或肿块;病灶形态不规则,呈分叶状(分叶征);边缘多发细短毛刺(毛刺征);偏心性空洞,或伴有壁结节;相邻胸膜凹陷,伴线形、喇叭口样索条影牵拉改变;增强扫描呈轻、中度不均匀强化。



病因
肺癌的病因,可能与吸烟、大气污染、烹饪油烟、职业接触(包括砷、镉、铬、镍、石棉、煤炼焦过程、氡、电离辐射等)、饮食因素、遗传易感性、基因变异等有关。长期大量吸烟是肺癌的最重要风险因素,吸烟量越大、开始年龄越早、吸烟年限越长则患肺癌的危险性越高。
治疗
肺癌的治疗应当根据病人的机体状况、病理学类型、侵及范围等,采用多学科综合治疗模式,治疗方法主要有外科手术、放射治疗、化学药物治疗、靶向治疗、免疫治疗等。
手术治疗是早期肺癌的最佳治疗方法,分为根治性与姑息性手术;肺癌晚期或复发病人可进行化疗和靶向治疗。
日常生活中避免接触与肺癌发病有关的因素如吸烟和大气污染,加强职业接触中的劳动保护,可减少肺癌发病危险。由于目前尚无有效的肺癌化学预防措施,不吸烟和及早戒烟可能是预防肺癌的最有效办法。
参考文献
[1]陈孝平,汪建平,赵继宗.外科学.第9版[M].北京.人民卫生出版社.2018.266,269-270.
[2]葛均波,徐永健,王辰.内科学.第9版[M].北京.人民卫生出版社.2018.84.
[3]赫捷,.肿瘤学概论.第2版[M].北京.人民卫生出版社.2018.100.
