概述
桑葚状肿瘤主要表现为半球形隆起、表面有粟粒样皮损、外观类似桑葚的肿物。
桑葚状肿瘤常见于婴儿血管瘤、海绵状血管瘤及痣细胞痣。
症状
临床常见的桑葚状肿瘤有婴儿血管瘤、海绵状血管瘤及痣细胞痣,不同疾病表现的症状也会有差异,具体如下:
婴儿血管瘤
又称草莓状血管瘤,皮损为半球形隆起,呈暗红色或鲜红色,表面可有粟粒样或米粒样大小的皮损,形成草莓状外观,可类似于桑葚状,可压平,但红色不褪,松压后又隆起。

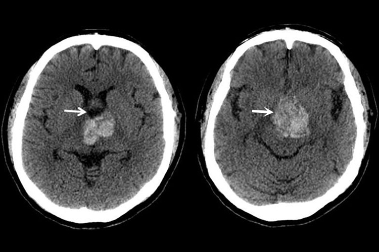
海绵状血管瘤
属于脑血管畸形,血管瘤外观为紫红色,表面呈桑葚状,剖面呈海绵状或蜂窝状,质地可软可硬。血管瘤常有分叶囊包裹,与周围分界清楚。

痣细胞痣
皮损为扁平或略隆起的斑疹或斑丘疹,也可为乳头瘤状、疣状、结节或有蒂的损害,表面光滑,数目不等。依据痣细胞深度可分为交界痣、复合痣和皮内痣。皮肤镜检查皮内痣可见境界清晰的鹅卵石样结构,表现类似桑葚状。

病因
不同原因导致桑葚状肿瘤的根本病因会有差异,具体病因如下:
婴儿血管瘤
病因不明,可能由于局部微环境的变化以及内皮细胞自身转化异常有关,还可能和人体内外环境中外源性雌激素增加有关。
海绵状血管瘤
多属于先天性脑血管畸形,但是病毒感染、外伤、手术、放疗、出血后血管性反应等也可诱发海绵状血管瘤。海绵状血管瘤实质是畸形血管团,由一堆口径不规则、大小不等、呈窦状扩张的异常血管组成。
痣细胞痣
本病属于发育畸形,黑素细胞在由神经嵴到表皮的移动过程中,由于偶然异常,造成黑素细胞的局部聚集而成。
治疗
出现桑葚状肿瘤,需要及时就医明确诊断,然后根据病因采取针对性的治疗措施,具体如下:
婴儿血管瘤
尽管该病是自限性的,但仍有部分人群需要治疗,目的是抑制血管内皮细胞增生,促进瘤体消退,减少瘤体残留。婴儿血管瘤主要以局部外用和系统用药为主,辅助激光或局部注射等。
海绵状血管瘤
手术治疗为主,目的是完全切除病灶、消除出血风险、减少或防止癫痫发作、恢复神经功能。
痣细胞痣
一般不需治疗,但若是发生在掌跖、腰围、腋窝、腹股沟和肩部等易摩擦或受伤部位的痣细胞痣应考虑手术切除。有恶变倾向者应及早切除,同时做组织病理检查。
参考文献
[1]虞瑞尧,杨杨.儿童皮肤病彩色图谱[M].郑州.河南科学技术出版社.2019.500.
[2]张学军,郑捷.皮肤性病学.第9版[M].北京.人民卫生出版社.2018.193-194.
[3]崔丽英.中华医学百科全书 神经病学[M].北京.中国协和医科大学出版社.2019.129-130.
[4]王蕾,蒋红.临床专科护理技术丛书 实用皮肤病护理[M].上海.上海科学技术出版社.2018.328-329.
