概述
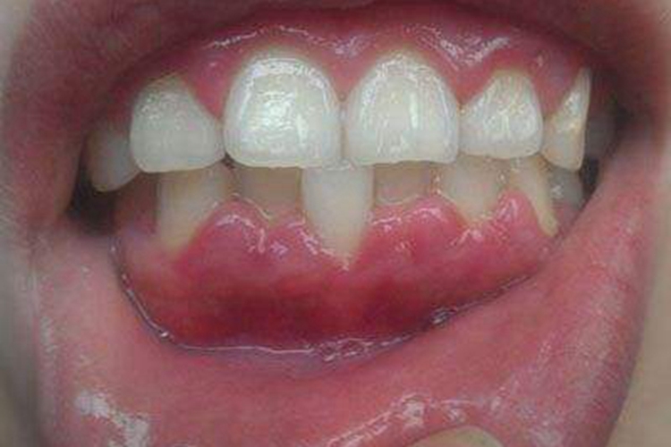
慢性龈炎可导致牙龈发生肿胀、增厚,高于周围正常牙龈,呈淡红色、鲜红色不等。此病的发生主要与牙菌斑有关,需遵医嘱治疗。
症状
慢性龈炎可导致牙龈出现不同程度的肿胀、增厚,可呈淡红色、鲜红色不等,高于周围正常牙龈,表面光滑、发亮,边缘可呈圆钝状,累及的范围、大小不一。病变的牙龈质地坚实且富有弹性,触之易出血,自觉有疼痛不适。

病因
慢性龈炎的发生主要与牙菌斑有关,牙石、食物嵌塞、不良修复体、牙错位拥挤、口呼吸等因素均可促进牙菌斑的积聚,引发或加重牙龈的炎症,并出现牙龈肿胀、增厚等表现。
治疗
慢性龈炎患者需要遵医嘱进行洁治术,彻底清除牙菌斑、牙石,并纠正不良修复体等刺激因素,避免疾病症状持续性加重。同时患者可遵医嘱使用复方氯己定含漱液、复方硼砂含漱液等含漱,以减轻局部炎症。若牙龈炎症消退后,牙龈增厚的症状仍存在,可在医生建议下进行牙龈成形术等手术治疗。
参考文献
[1]张志愿.口腔科学.第9版[M].北京.人民卫生出版社.2018.63-64.
[2]孟焕新.牙周病学.第5版[M].北京.人民卫生出版社.2020.131-134.
展开
