概述
胎毒和湿疹是两个疾病,胎毒出生时即可出现丹毒、痈疖等症状,而湿疹常表现为丘疹。
胎毒一般是受母体毒火所致,而湿疹是真皮浅层及表皮炎症,均可通过药物治疗。
症状
胎毒和湿疹是两种不同的疾病,相应临床表现亦有所不同。
胎毒
胎毒重者,出生时常表现为面目红赤、多啼声响、大便秘结等,易发生丹毒、痈疖、湿疹、胎黄、胎热、口疮等病证,或造成易患热性疾病的体质。

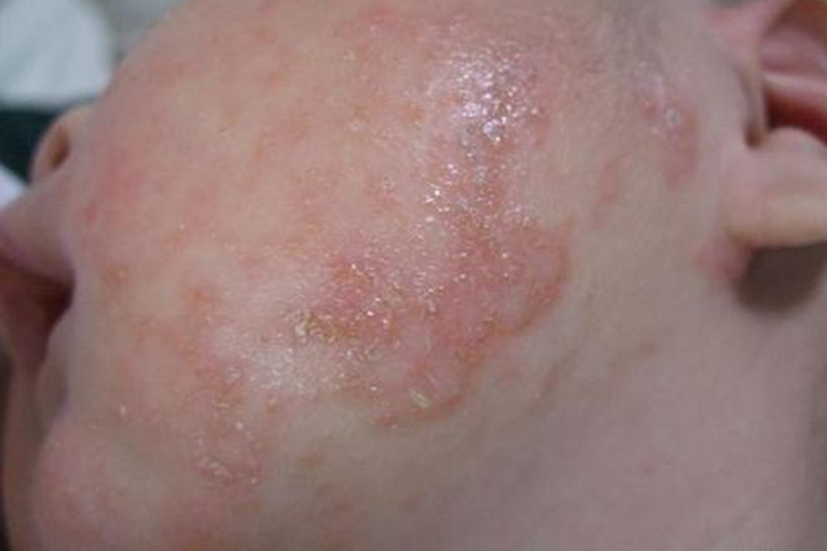
湿疹
湿疹急性期:表现为红斑基础上针头至粟粒大小的丘疹、丘疱疹,严重时出现小水疱,常融合成片,皮损周边丘疱疹逐渐稀疏,常因搔抓形成点状糜烂面,同时有明显的浆液性渗出。

湿疹慢性期:患部皮肤呈浸润性暗红斑,上有丘疹、抓痕及鳞屑,局部皮肤肥厚、表面粗糙,有不同程度的苔藓样变,色素沉着或色素减退,易反复发作。

病因
临床上引起胎毒和湿疹的发病原因各不相同,具体情况如下:
胎毒:主要指热毒。胎儿在母腹中时受母体毒火,因而出生后发生疮疹和遗毒等疾病。胎毒多由于父母肆意进食肥甘厚味食物,或多思多虑,悲喜无度,纵情淫欲等,使得毒火蕴藏于精血之中,传于胎儿而成。
湿疹:内部因素包括慢性感染病灶,如慢性胆囊炎、扁桃体炎、肠寄生虫病等,内分泌及代谢改变如月经紊乱、妊娠等;外部因素如食物、吸入物、生活环境、动物毛皮、各种化学物质所诱发或加重。
治疗
胎毒和湿疹均可通过口服药物或外用药物的方式进行治疗,具体治疗方式如下:
胎毒:祛胎毒常用的药物有黄连,辨证属胎禀热毒者可用之,胎禀气弱或有蚕豆病者勿用。淡豆豉适用于胎毒兼脾虚者。甘草、金银花对胎毒轻者适宜。
湿疹:可用抗组胺药、镇静安定剂等,如氯雷他定片,必要时使用糖皮质激素。急性期可用维生素C注射液、硫代硫酸钠注射液等静脉注射或普鲁卡因注射液静脉封闭,有继发感染者加用抗生素,如头孢克肟分散片、头孢拉定胶囊等。
参考文献
[1]马融.中医儿科学.第4版[M].北京.中国中医药出版社.2016:159-160.
[2]王键.内科学.第8版[M].北京.中国中医药出版社.2016:172.
