概述
8岁女孩上牙龈鼓包多表现为牙龈上圆形突起或圆形、椭圆形肿块,多见于急性牙周脓肿、牙龈瘤等疾病,可通过药物或手术治疗。
症状
8岁女孩上牙龈鼓包的症状可见于急性牙周脓肿、牙龈瘤等疾病,可根据其具体表现区分判断。
急性牙周脓肿
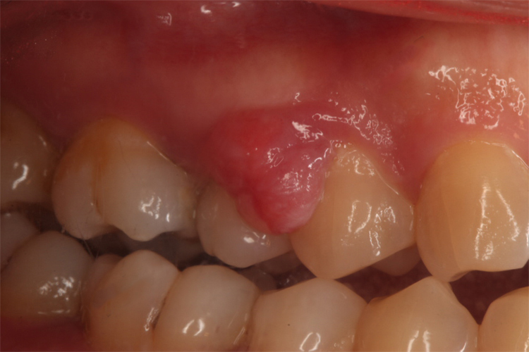
急性牙周脓肿发病突然,患牙的上牙龈形成圆形突起,即鼓包,色红、水肿、表面光亮,脓肿早期疼痛明显,呈局限性、搏动性疼痛,患牙有浮起感、叩痛及松动待脓液形成并局限后,表面形成脓点,挤压时有脓液流出或从牙周袋溢出,疼痛减轻。

牙龈瘤
牙龈瘤肿块较局限,呈圆形或椭圆形,有时呈分叶状,看起来像鼓包。大小不一,直径数毫米至数厘米。有蒂者呈息肉状,无蒂者基底宽广。一般生长较慢,迅速增大时,较大的肿块可遮盖部分牙及牙槽突,表面可见牙齿压痕,易被咬伤而发生溃疡,伴发感染。

病因
8岁女孩上牙龈鼓包可能为急性牙周脓肿、牙龈瘤等疾病所致,主要病因如下:
急性牙周脓肿
急性牙周脓肿是牙周炎发展过程中,在牙周袋壁或深部牙周结缔组织中出现的局限性化脓性炎症,诱发因素有机体抵抗力下降、严重全身疾病(如糖尿病)等。
牙龈瘤
牙龈瘤来源于牙周膜及颌骨牙槽突的结缔组织,与机械刺激、慢性炎症刺激、龈下菌斑、结石和内分泌等因素有关,非真性肿瘤。
治疗
8岁女孩上牙龈鼓包可能为急性牙周脓肿、牙龈瘤等疾病所致,其治疗方法不同。
急性牙周脓肿
急性牙周脓肿的治疗原则是镇痛、防止感染扩散,同时使脓液得到引流。脓肿初期,可清除大块牙石,冲洗牙周袋,将防腐收敛药或抗菌药置入牙周袋内,必要时全身给予抗生素或支持疗法。脓肿形成后,可进行切开引流治疗。
牙龈瘤
牙龈瘤应彻底切除,并去除局部刺激因素,包括龈下、龈上洁治,去除不良修复体等,凡牙齿已松动且X线摄片显示牙周膜间隙增宽或骨质稀疏及复发的患者,均应拔除相关患牙,刮除牙周膜。
除以上相对常见的情况外,还有其他的可能性情况,例如根尖周炎等,建议患者积极就医,遵医嘱行针对性的治疗。
参考文献
[1]樊明文.中华医学百科全书.2.临床医学.口腔医学[M].北京.中国协和医科大学出版社,2018.94.
[2]北京医师协会组织编写.口腔科诊疗常规[M].北京.中国医药科技出版社,2020.261.
