概述
肾上腺是人体重要的内分泌腺,由皮质、髓质和基质构成,肾上腺CT表现一般可以分为正常CT表现和异常CT表现。
CT表现
肾上腺CT表现一般可以分为正常CT表现和异常CT表现,异常肾上腺CT表现包括肾上腺肿块、肾上腺增大和肾上腺变小,表现有所差异:
正常CT表现
肾上腺位于肾筋膜囊内,周围有丰富的低密度脂肪组织,因而正常肾上腺能够清楚显示。平扫检查,正常肾上腺呈软组织密度,类似肾脏实质,不能分辨皮、髓质。肾上腺的形态因人而异,即使同一肾上腺在不同层面上也表现各异右侧肾上腺常呈斜线状、倒“V”或倒“Y”形。左侧者多为倒“V”、倒“Y”
形或三角状。肾上腺边缘多平直,也可轻度一致性外突或内凹,表面光滑,无外突结节。

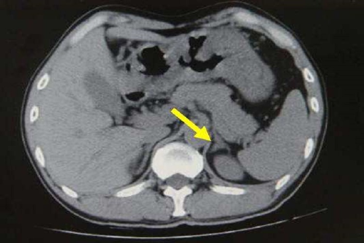
异常CT表现
肾上腺肿块:双侧肾性肿块常见于肾上腺转移瘤,但也见于肾上腺结核、皮质腺瘤和嗜铬细胞瘤等。通常良性功能性肿瘤常较小,例如原发性醛固酮增多症和库欣综合征中的腺瘤,直径常分别小于2cm和3cm。肾上腺非功能性肿瘤和恶性肿瘤通常较大,例如肾上腺皮质癌发现时直径多大于6cm。肿块密度均匀水样低密度肿块,呈均一强化常为功能性腺瘤和非功能腺瘤。

肾上腺增大:即侧肢厚度大于10mm,边缘可有小的结节影,增大肾上腺的密度和外形正常,为肾上腺增生表现。

肾上腺变小:代表肾上腺萎缩,常为垂体功能低下或特发性肾上腺萎缩所致,也可见于Cushing腺瘤同侧肾上腺的残部和对侧肾上腺。

功能
肾上腺是人体重要的内分泌腺,分为皮质和髓质两部分。肾上腺皮质分泌盐皮质激素(醛固酮)调节体内水盐代谢,分泌糖皮质激素(皮质醇)调节碳水化合物代谢,也可以分泌性激素(脱氢表雄酮)影响性行为和副性特征。肾上腺髓质分泌肾上腺素和去甲肾上腺素,使心率加快、心收缩力加强、小动脉收缩维持血压和调节内脏平滑肌的活动。
参考文献
[1]金征宇,龚启勇.医学影像学.第3版[M].北京.人民卫生出版社.2015.404-407.
[2]韩萍,于春水.医学影像诊断学.第4版[M].北京.人民卫生出版社.2017.493-495.
