概述
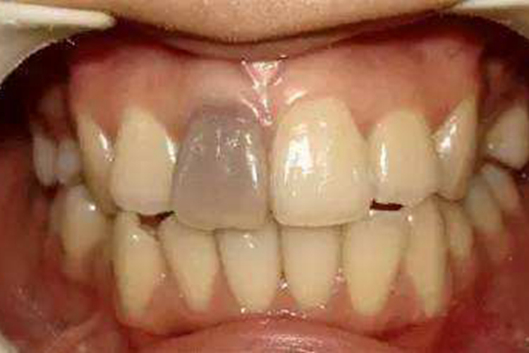
门牙根管治疗后牙齿变黑,并伴随失去光泽,主要与牙髓治疗中遗留髓角的牙髓组织、根管内存在血液污染等有关,可影响美观。
症状
门牙根管治疗过程中遗留的残髓逐渐分解导致牙齿变黑,并伴随失去光泽。另外,窝洞和根治内用的药物或填充材料也会使牙齿变黑,如银汞合金和铜汞合金可使填充体周围的牙齿变黑色,患者常无自觉症状,可影响美观。

病因
门牙根管治疗后牙齿变黑的原因包括牙髓治疗中遗留髓角的牙髓组织、根管内存在血液污染、牙髓生物修复材料如三氧化物聚合物、根管封闭剂、牙胶等材料,髓腔消毒药物如抗生素等,均有可能渗入牙本质小管,导致牙齿变黑。
治疗
门牙根管治疗后牙齿变黑,需要进行髓腔内漂白或修复治疗,如复合树脂直接贴面或做桩冠修复。医生在美学区行根管治疗时,需在治疗前告知患者可能出现的风险,对门牙进行根管封药时可尽量将消毒药物放在釉牙骨质界以下,或提前在髓腔内涂布粘接剂封闭牙本质小管来预防牙体变色。
参考文献
[1]邢云娣,倪佳,曾嘉皓,等,分光光度比色仪比较根管封药氢氧化钙对牙体颜色的影响[J].实用口腔医学杂志,2018.690.
[2]王莉,刘东,张永辉,秦宁艳主编,刘丽梅,沈全明,行勇军,王志强副主编,临床口腔医学新进展.上[M].长春.吉林科学技术出版社,2017.09,75.
展开
