概述
牙龈有一道横充血红线一般是牙龈线性红斑,可能与念珠菌感染相关,会出现游离龈缘呈明显的线性充血带。
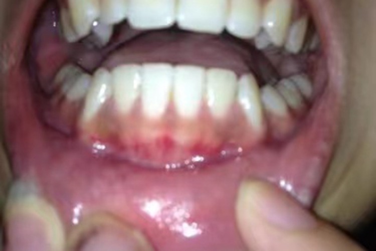
症状
牙龈有一道横充血红线多是牙龈线性红斑,可见到游离龈边缘界限清晰的火红色充血带,宽2-3mm,无牙周袋及牙周附着丧失,附着龈可见点状红斑,患者刷牙后会出血或有自发性出血,去除局部刺激后,牙龈充血仍不会消退,艾滋病的患者可能还会出现毛状红斑。

病因
牙龈线性红斑可能与念珠菌感染相关,是HIV感染者较早出现的相关性症状之一。
治疗
牙龈线性红斑治疗应该以全身治疗和局部治疗为主。可以使用氟康唑、酮康唑等抗真菌药物口服治疗,或使用制霉菌素局部涂抹或碳酸氢钠液漱口。
参考文献
[1]陈乃玲等主编.口腔操作技术与疾病概要[M].长春:吉林科学技术出版社.2019:88-89.
[2]刘洋著.口腔内科学 高级医师进阶 副主任医师/主任医师[M].北京:中国协和医科大学出版社.2018:477-478.
展开
