概述
嗜酸性粒细胞肺炎即嗜酸性粒细胞性肺炎,CT检查可见肺部有磨玻璃影、实变影等。
嗜酸性粒细胞肺炎患者可出现呼吸困难、咳嗽、发热等不适,需要及时采取规范的治疗。
症状
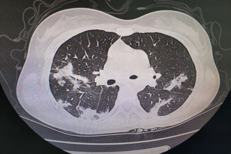
嗜酸性粒细胞性肺炎的CT表现为肺内有磨玻璃影和实变影,可累及双肺,病灶主要分布在上肺和肺外周。CT检查结果可见肺部小叶间隔增厚,部分患者会有少量胸腔积液和纵隔淋巴结肿大,极少数的患者有空洞样病变。除此之外,患者多会出现呼吸困难、咳嗽、发热、盗汗,以及体重减轻和喘鸣等症状。

病因
嗜酸性粒细胞性肺炎是一种以肺部嗜酸性粒细胞浸润、伴有或不伴有外周血嗜酸性粒细胞增多为特征的临床综合征,可能是热带型肺嗜酸性粒细胞增多症、变应性支气管肺曲霉菌病、药物或毒素诱发,也可能是原因不明的疾病,如急性嗜酸性粒细胞性肺炎、慢性嗜酸性粒细胞性肺炎、变应性肉芽肿血管炎。
治疗
嗜酸性粒细胞肺炎患者需遵医嘱应用糖皮质激素类药物进行治疗,如泼尼松,并在疾病治疗期间定时复查CT等影像学检查,明确治疗效果,待病情好转后遵医嘱逐渐减少药量,或调整治疗方案。
参考文献
[1]葛均波,徐永健,王辰.内科学.第9版[M].北京.人民卫生出版社.2018:96.
[2]何权瀛.呼吸内科诊疗常规[M].北京.中国医药科技出版社.2020:121-122.
[3]武蕾,刘化峰,霍玉贤等主编.呼吸内科中西医诊疗学[M].北京.科学技术文献出版社,2018:346-351.
展开
