概述
肠梗阻的X线表现为肠腔内气体影,立位或卧位摄片可见液平面及胀气肠襻。同时患者可伴有腹痛、呕吐、腹胀等症状。
症状
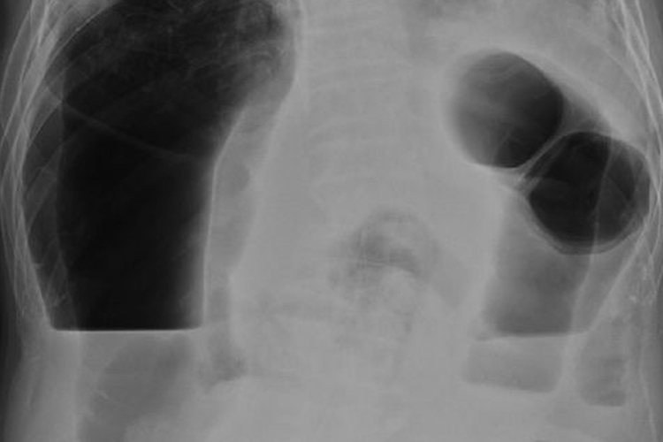
一般在肠梗阻发生4-6小时后腹部X线摄片可显示出肠腔内气体影,立位或卧位摄片可见液平面及胀气肠襻。有时空肠黏膜环状皱襞可显示“鱼肋骨刺”状,结肠梗阻时胀气位于腹部周边,显示结肠袋形。如液平面呈阶梯状,则提示小肠梗阻。如显示“同心圆”X线征象时,应考虑肠套叠。



病因
不同的类型的肠梗阻的病因不同。如机械性肠梗阻是由机械性因素如肠腔堵塞、肠管受压、肠壁病变等导致。动力性肠梗阻是由神经抑制或毒素刺激导致的肠壁肌肉运动紊乱引起。血运性肠梗阻时由于肠系膜血管栓塞或血栓形成,肠管血运障碍所致。
治疗
通过X线检查结合患者的临床症状,如腹痛、腹胀、呕吐等,可确诊,并在医生指导下积极治疗。治疗肠梗阻首先对症治疗,如胃肠减压,减少胃肠道积留的气体、液体,减轻腹内压力。适当补液纠正水、电解质紊乱和酸碱失衡。及时给予抗生素预防或治疗腹部感染。必要时采取手术治疗,解除梗阻。
参考文献
[1]路潜,韩斌如.外科护理学.第3版[M].北京.北京大学医学出版社.2015.185-188.
[2]赵玉沛,陈孝平.外科学(上册).第3版[M].北京.人民卫生出版社.2015.493.
展开
