概述
小牙片一般指X线牙片,又称牙根尖片,正常表现为外层有发白透亮度较高的牙外形,中间有1-2条根状直线阴影,也可能存在异常。
正常表现
小牙片根据釉质、牙本质、牙骨质、牙髓等牙组织的密度不同,颜色表现也有所差异。由于釉质和牙本质密度较高,而牙骨质和牙髓密度较低,因此一般小牙片正常表现为外层有发白透亮度较高的牙外形,中间有1-2条根状直线阴影。
而对于牙支持组织,骨小梁为致密的薄层骨板交织构成,其间为投射的骨髓腔,牙硬板为包绕牙根的连续不断的密度高线条状影像,牙周膜则表现为密度低的线条状影像,宽度均匀一致。

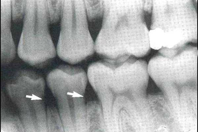
异常表现
如果小牙片在牙组织中显示出边界不清、密度降低的透射影,或者是边界清晰的小团骨质破坏密度甚低的透射区,密度不均匀,甚至牙硬板的包绕牙根连续不断的线条状影像消失,均属于异常情况。临床由于部分影像学变化不明显,非专业人员不容易辨认,因此建议由专业的牙科医生对小牙片进行判断。
参考文献
[1]张志愿.口腔科学.第9版[M].北京.人民卫生出版社.2018.28.
[2]赵铱民.口腔修复学.第8版[M].北京.人民卫生出版社.2020.11.
[3]张志愿主编.口腔医学4[M].北京.中国协和医科大学出版社.2019.2-4.
展开
