概述
长期吸烟的牙齿表面易出现烟渍,牙齿表面色素沉着,还易堆积牙结石,烟中的有害物质,也易对牙周造成损害,出现牙周炎的情况。
外观
烟中含有尼古丁、一氧化碳、焦油等有害成分,易引起牙齿色素沉着及牙周炎的情况。
牙齿色素沉着
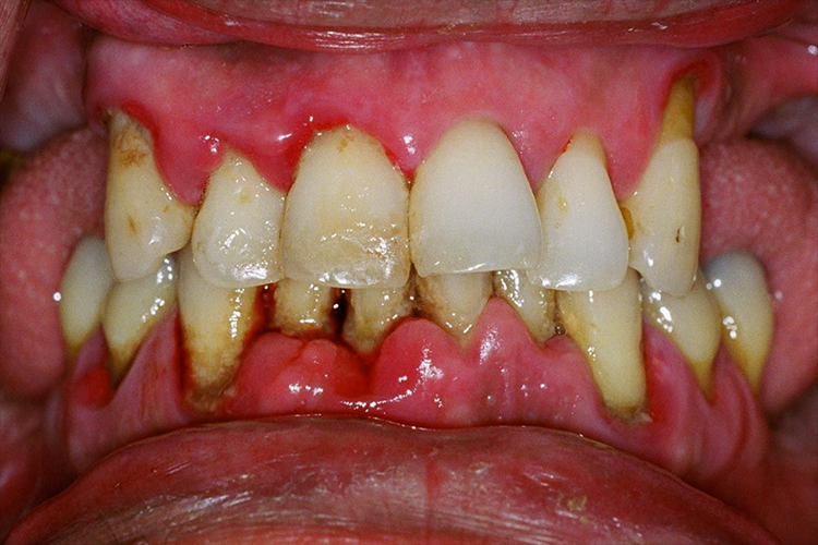
长期吸烟,烟中的焦油残留在牙齿表面,或口腔中细菌产生的色素沉积在牙面,可出现色素沉积,表现为牙齿表面有褐色或黑褐色着色,刷牙不能除去,牙齿的窝沟和表面粗糙处也易有着色。


牙周炎
长期吸烟还可导致牙周疾病的发生,出现牙周炎,表现为牙龈红肿、易出血,出现牙周袋,牙齿对冷热敏感,晚期还可出现牙齿松动、牙龈萎缩的情况。
危害
吸烟对牙齿有一定的危害,应避免长期吸烟。
长期吸烟,烟中的烟雾和香烟燃烧时产生的热量可对牙龈组织造成刺激,使牙龈呈慢性炎症状态。
长期吸烟者牙面可出现焦油沉积物,使牙石易于沉积、菌斑形成速度增高,口腔卫生状况较差,影响牙周组织的健康,易患牙龈炎及牙周炎。
长期吸烟者牙槽骨丧失较不吸烟者为多,还可抑制成纤维细胞的生长,并使其不易附着于根面,影响牙周创口愈合。
注意事项
日常应避免吸烟,同时应注意口腔卫生,勤刷牙、漱口,用牙线清理牙齿,保证口腔健康,同时应尽量控制吸烟频率,以免危害身体健康。
参考文献
[1]张震康,俞光岩,徐韬.实用口腔科学.第4版[M].北京.人民卫生出版社.2016.45.
[2]刘秦鹏主编.现代临床外科疾病诊断与治疗[M].天津科学技术出版社.2020.180.
展开
