概述
肺结节影像学表现为直径≤30mm的局灶性、类圆形密度增高的实性或亚实性肺部阴影,可为孤立性或多发性,正常肺部没有该阴影。
外观
正常肺部CT检查无阴影,而对于肺结节可根据其CT影像学外部和内部特征进行良恶性的初步判断。

肺结节外部特征
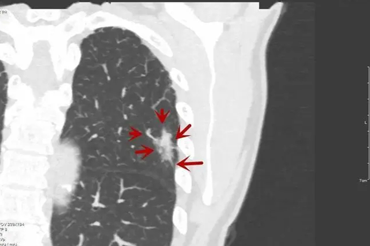
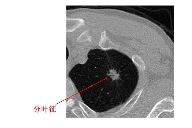
大多数良性肺结节的形态为圆形或类圆形,与恶性实性结节相比,恶性肺结节出现不规则形态的比例较高;毛刺征、分叶征常提示恶性的可能,而良性肺结节多数无分叶,边缘可有尖角或纤维条索等,周围出现纤维条索,胸膜增厚等征象;病灶周围的胸膜凹陷征与血管集束征亦为鉴别良恶性常见且有价值的特征。



肺结节内部特征
通常肺结节的密度越高则恶性概率大,密度越低则恶性概率偏低;空泡征、空气支气管征等结构常见于肺部浸润性腺癌。

治疗原则
若考虑肺结节恶性程度可能性较小,可选择CT随访观察。若发现结节的同时合并有感染征象,需积极进行抗感染治疗。若肺结节考虑为恶性可能大时,应尽可能行肺结节组织活检以明确诊断,具有手术指征者首选外科手术切除;若不具备手术指征,可行放化疗、消融、靶向治疗等。若活检结果阴性,但临床高度怀疑恶性肿瘤且无手术禁忌证者,仍可行外科手术切除肺结节。
参考文献
[1]左翔主编.早期肺癌百例CT导读[M].上海:上海科学普及出版社,2020.10.
[2]陈荣昌主编.呼吸与危重症医学 2018-2019[M].中华医学电子音像出版社,2019.434-435.
展开
