概述
胃癌确诊报告单通常指的是病理报告,内容包括胃癌分期、性质、浸润程度等内容。医生可根据报告单明确患者情况,制定治疗方案。
内容
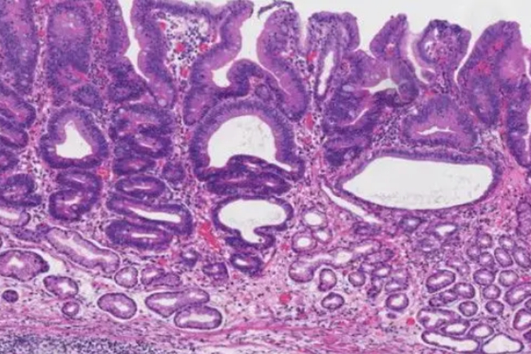
胃癌应通过病理检查才能确诊,因此病理报告单是胃癌确诊的重要依据。通常可从中了解到标本类型、胃癌分期、肿瘤部位、性质、浸润程度、周围黏膜情况等内容。在病理报告单中,通常可见早期胃癌病变仅限于黏膜或黏膜下层,进展期胃癌癌组织浸润深度可超过黏膜下层。

诊断标准
诊断胃癌需要依据纤维胃镜检查确立临床诊断,再依据组织病理学检查结果确诊胃癌。因此,在临床中进行B超、胃镜检查后发现疑似胃癌的情况后,需积极遵医嘱进行病理检查,才能最终判断是否为胃癌,并且明确分型以及病情发展程度,以便于后续治疗。
参考文献
[1]任保辉主编.肿瘤综合防治[M].科学技术文献出版社.2020.190-191.
[2]李思,黄琼,王维斯,倪思忆,沈雁.“健脾益气生血法”对胃癌贫血患者细胞免疫功能的影响[J].中国中西医结合消化杂志,2019,27(05):351-356.
展开
