概述
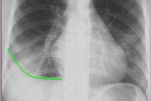
胸膜炎可表现为轻、中度发热,以及刺激性咳嗽和胸痛等症状,出现胸腔积液时X线片可见患侧肋膈角变钝,或呈弧形密度增高阴影。
症状
胸膜炎可表现为轻、中度发热,刺激性咳嗽和胸痛,可出现剧烈的针刺样痛,深吸气或咳嗽时加重,患侧卧位时减轻,活动后明显。胸膜炎X线常无特殊阳性表现,少量积液渗出时可见患侧肋膈角变钝,积液增多时呈外高内低凹面向上弧形密度增高阴影。

病因
胸膜炎与多种因素有关,如细菌、病毒、真菌感染,以及变态反应性(如系统性红斑狼疮、类风湿性关节炎等)、肿瘤性(如支气管肺癌胸腹转移、淋巴瘤、胸膜间皮瘤等)因素,还可能与化学性因素,如血红蛋白刺激、尿毒症、物理性创伤等有关。
治疗
胸膜炎可应用非甾体类抗炎药如双氯芬酸钠缓释片止痛,细菌感染引起的胸膜炎可应用抗生素(阿莫西林胶囊、头孢克肟颗粒)治疗,因自身免疫性疾病引起的胸膜炎,可应用糖皮质激素(醋酸泼尼松片、甲泼尼龙片等)治疗。
参考文献
[1]杨晓东主编.临床呼吸内科疾病诊疗新进展[M].开封.河南大学出版社.2020.160-162.
[2]倪青,王祥生主编.实用现代中医内科学[M].北京.中国科学技术出版社.2019.30-31.
展开
