概述
酸蚀症可发生于牙齿,初期有牙齿敏感,继而表面出现黄斑,形态不规则,主要与接触外源性酸性物质有关,遵医嘱进行治疗。
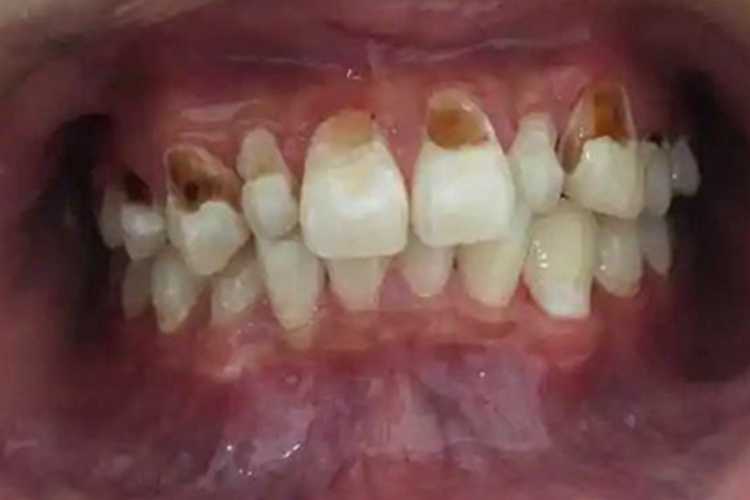
症状
酸蚀症可发生于牙齿,患者初期仅有牙齿敏感,以后逐渐出现牙体组织实质性缺损,严重者可出现深度破坏,牙齿表面出现黄斑,呈黄褐色,轻微凹陷,具体形态不规则。


病因
酸蚀症的直接病因是酸或酸酐,制酸、汽车电池、电镀材料等行业的从业人员,可能接触外源性酸性物质,属于高危人群。
此外,长期大量饮用可乐、果汁等酸性饮料,也容易引起酸蚀症,常破坏前牙唇面。胃液反流属于内源性酸性物质,主要是牙舌腭侧受损。
治疗
酸蚀症患者要注意进行牙齿保护,刷牙漱口,少进食酸性饮食,积极治疗消化系统疾病。症状较轻时可遵医嘱进行脱敏治疗,牙缺损严重者可采用充填修复治疗,出现牙髓根尖周病变者需行根管治疗,注意定期复查。
参考文献
[1]张志愿.口腔科学.第9版[M].北京.人民卫生出版社.2018.49.
[2]张震康,俞光岩,徐韬.实用口腔科学.第4版[M].北京.人民卫生出版社.2016.39-40.
展开
