概述
小腿骨折包括胫骨骨折、腓骨骨折和髌骨骨折,可选用钢钉(即拉力螺丝钉或克氏针)进行固定,从而使其恢复。
钢钉固定
小腿骨折包括胫骨骨折、腓骨骨折和髌骨骨折,因骨折部位不同,故其钢钉固定也有所差异。
胫骨骨折
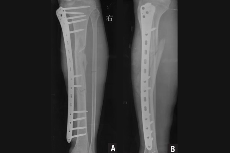
胫骨骨折可采取钢板钢钉内固定,于开放复位后,用钢钉、钢板在骨折部位固定,用以维持骨折对位。由于胫骨前内侧皮肤及皮下组织较薄,因此钢板可放在胫骨外侧胫前肌的深面。

腓骨骨折
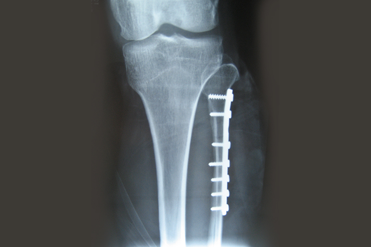
腓骨骨折打钢钉,若骨折线呈斜形,可用拉力螺丝钉由前向后打入骨折部位,使骨片间产生压缩力,螺丝钉的长度必须能钉穿后侧皮质,但不要向外伸出太多以致影响腓骨肌腱鞘。如果为横行骨折或远侧骨片较小,可纵行分开跟腓韧带纤维,显露外踝尖端,打入长钢钉,也可用其他形式的髓内钉经过骨折线打入近侧骨片髓腔中。

髌骨骨折
髌骨骨折一般采取张力带钢丝内固定术,医生自远折端骨折面,逆行穿出用两根直径1.5mm的克氏针(钢钉)固定骨折端,手伸入关节腔内,触髌骨关节面平整后,用钢丝或钢缆作“8”字或环形缠绕克氏针固定。

术后护理
小腿骨折钢钉术后应给予患肢抬高,高度要高于患者的心脏水平,利于血液循环,防止患肢肿胀;密切观察患肢血运、皮肤温度、神经感觉、踝及足趾活动、末梢循环的充盈度、伤口渗血、患肢足背动脉波动等情况;患者麻醉过后即开始进行踝泵练习,防止深静脉血栓的发生。
术后在医生指导下做股四头肌舒缩锻炼,伤口拆线可逐步加强锻炼。全身情况允许时可开始利用卧位及站位做各个方向的抬腿锻炼,主动或被动膝、踝关节活动范围训练,跟腱、腓肠肌和屈髋关节牵拉练习等。
参考文献
[1]黄俊蕾,赵娜,李丽沙.新编实用临床与护理[M].青岛.中国海洋大学出版社.2019.257-258.
[2]沈尚模.骨科疾病临床诊疗思维[M].昆明市.云南科学技术出版社.2020.474.
[3]宋立芃.临床急危重症救治与护理[M].长春.吉林科学技术出版社.2019.153.
