概述
手足口病嘴巴里溃疡多是由口腔黏膜疱疹破溃后形成,常伴有手、足部红斑、丘疹、疱疹症状,还可有发热等表现。
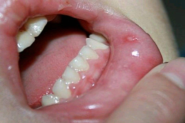
症状
手足口病患者口腔内颊黏膜、软腭、舌缘及唇内侧常有散在的红斑及小疱疹,口内疱疹极易破溃成糜烂溃疡面,上覆灰黄色假膜,周围黏膜充血红肿。皮肤在手掌、足底、臀部出现斑丘疹、疱疹,周围有红晕,如不破溃感染,常在2-4天吸收干燥,呈深褐色薄痂,脱落后无瘢痕。常伴有1-3天的发热、咳嗽、流涕、食欲缺乏等症状。

病因
手足口病最常见的致病微生物是柯萨奇病毒A16和肠道病毒71型,属于小RNA病毒科、肠道病毒属。其他的肠道病毒,如柯萨奇病毒A组4-7、9、10型和B组1-3、5型,以及某些埃可病毒也可引起。病毒感染口腔黏膜和手足部的皮肤黏膜发生炎症反应,可导致疱疹、斑丘疹等症状,破损可出现溃疡表现。
治疗
手足口病嘴巴里溃疡需注意消毒隔离,避免交叉感染。适当休息,饮食清淡,避免进食刺激性食物,如辣椒等。做好口腔和皮肤护理,餐后应用温水漱口,手足口病目前缺乏特异高效的抗病毒药物,可采用利巴韦林、α-干扰素等抗病毒药物进行治疗。对于口腔有糜烂者,可应用西瓜霜喷剂、冰硼散等药物进行治疗。
参考文献
[1]陈谦明.口腔黏膜病学.第5版[M].北京.人民卫生出版社,2020.25-27.
[2]李兰娟,任红.传染病学.第9版[M].北京.人民卫生出版社,2018.61-62.
展开
