概述
阻生牙可表现为牙床上有几个白点冒出,质地坚硬,是由于颌骨缺乏足够的空间容纳全部恒牙造成,可以遵医嘱考虑将阻生牙拔除治疗。
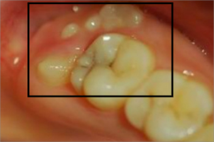
症状
阻生牙可表现为牙床上有零星几个白点冒出,质地坚硬,是未完全萌出的阻生牙齿部分,进食时食物残渣易留存于白点之间,会导致白点龋损。

病因
阻生牙主要原因是随着人类的进化,颌骨的退化与牙量的退化不一致,导致骨量相对小于牙量,颌骨缺乏足够的空间容纳全部恒牙。
治疗
对于阻生牙的处置需要首先明确阻生牙齿发育情况是否正常,对于由于早期外伤或其他原因造成发育异常,如牙根弯曲、短根等情况的阻生牙,还应根据患者的综合情况,决定牙齿是否保留。
发育正常的牙齿同时正畸治疗又不需要进行拔牙矫治,通常需要对阻生牙进行牵引治疗,引导进入牙弓,而对于发育异常的阻生牙加之正畸治疗需要进行拔牙矫治,通常可以考虑将阻生牙拔除,而避免再拔发育正常的前磨牙,即降低了正畸治疗的难度及不确定性,又保留了相对正常的牙齿,治疗操作应由医生等专业人士进行。
参考文献
[1]张志愿.口腔科学.第9版[M].北京.人民卫生出版社.2018.97.
[2]徐国权等主编.口腔临床技术与临床实践[M].长春.吉林科学技术出版社.2019.237.
展开
