概述
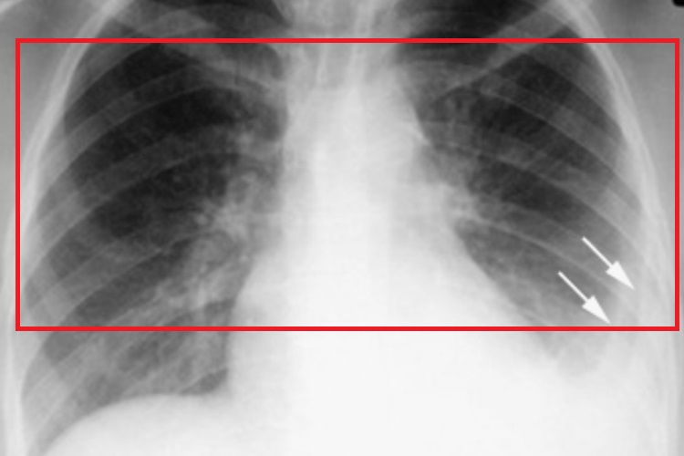
原发性肺结核X线表现为哑铃状的双极影或肺门区有多个,或单个的圆形或椭圆形、向外扩展、高密度的结节影,或呈肺纹理紊乱。
影像及症状
原发性肺结核X线表现为哑铃状的双极影,或肺门区多个或单个的圆形或椭圆形、向外扩展、高密度、边缘模糊的结节影,或呈肺纹理紊乱,肺门形态异常,肺门周围呈结节状、小点片状模糊阴影。患者常有低热、疲乏、食欲不振、消瘦、盗汗、睡眠不安、痉挛性咳嗽等症状。

病因
原发性肺结核是由结核分枝杆菌初次侵入肺部后发生原发感染,可通过呼吸道传播。另外,生活贫困、居住拥挤、营养不良、机体抵抗力较弱等原因,也可导致疾病的出现。
治疗
原发性肺结核患者可遵医嘱使用异烟肼片、利福平片、吡嗪酰胺片、硫酸链霉素片、盐酸乙胺丁醇片等药物进行治疗,治疗过程中应定期复查随诊。日常应注意营养,选用富含蛋白质和维生素的食物,应注意卧床休息,居住环境应保持阳光充足,空气流通。
参考文献
[1]王卫平.儿科学.第9版[M].北京.人民卫生出版社.2018.188-190.
[2]李国华.小儿内科学 高级医师进阶.第1版[M].北京.中国协和医科大学出版社.2016.426.
展开
