概述
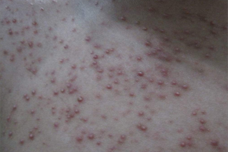
马拉色菌毛囊炎可导致患者胸前分布许多红色的半球形丘疹,周围发红,部分顶端发白。
该情况主要是由于感染球形马拉色菌所致,可遵医嘱应用药物进行治疗。
症状
马拉色菌毛囊炎可导致患者胸前分布许多红色的半球形丘疹,周围一圈发红,部分顶端发白,用手挤后会流出白色物质,丘疹消退后会留有暗红色斑。

病因
马拉色菌毛囊炎胸前长丘疹主要是由于感染球形马拉色菌所致,马拉色菌是人体正常寄生菌,在人体免疫力低下时,马拉色菌可在胸前的毛囊内大量繁殖,刺激毛囊口产生较多油脂并造成阻塞,从而导致局部皮肤出现红色半球形丘疹。
治疗
针对马拉色菌毛囊炎胸前长丘疹的症状,患者可在医生的指导下选择渗透性好的抗真菌药物治疗,如酮康唑乳膏、硝酸咪康唑乳膏等。
单纯局部用药效果不理想的患者还可配合口服伊曲康唑胶囊、盐酸特比萘芬片等抗真菌药物,以促进疾病的恢复。患者在应用药物前,应咨询专业的医生,并根据医生的建议应用。
参考文献
[1]张学军,郑捷.皮肤性病学.第9版[M].北京.人民卫生出版社.2018.91.
[2]朴永君.皮肤性病学.高级医师进阶.第1版[M].北京.中国协和医科大学出版社.2016.195-196.
[3]张学军.皮肤性病学高级教程.第1版[M].北京.人民军医出版社.2010.127.
[4]任成山,王甲汉,牛广政等.现代临床疾病防治学.下册.第1版[M].郑州.郑州大学出版社.2012.2328.
展开
