概述
男孩隐睾表现为睾丸下降异常,不能降至阴囊而停留在腹膜后、腹股沟管等位置,隐睾还可表现为一侧或双侧未下降至阴囊。
症状
隐睾在临床通常因睾丸不在阴囊中而就诊,可以是单侧或双侧。触诊可见阴囊空虚,有些可以在阴囊上方或腹股沟区摸到睾丸样组织,有些则完全摸不到,男孩在哭闹时,有时可触及下降的睾丸样组织。睾丸的大小可以接近正常、明显小于正常甚至消失,有时可伴有睾丸鞘膜积液。
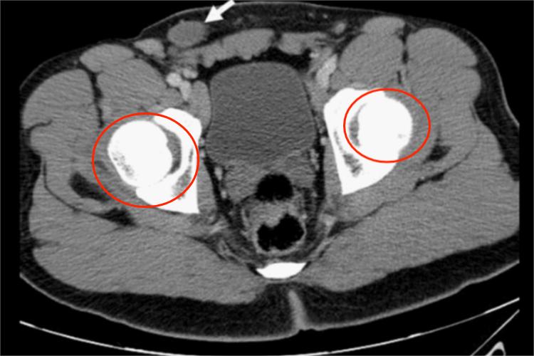
通过腹腔镜检查可以查看到腹腔内存在有隐睾,隐睾CT则表现为圆形软组织肿块,边界清楚,轮廓光整,密度均匀。





病因
男孩隐睾的病因尚不清楚,可能与胚胎期母体的内分泌不足有关,胰岛素样因子3表达降低或异常、雄激素作用降低、雌激素作用增强等均可能通过对睾丸引带的影响而引起隐睾。另外,米勒管抑制物、生殖股神经和降钙素基因等均可能对隐睾的发病有一定影响。
治疗
男孩隐睾应在诊断明确后应尽早治疗,出生后6个月如睾丸仍未下降,则自行下降的机会已经极少。目前认为激素治疗成功率低,并发症多,且缺乏远期疗效的证据,不推荐使用激素治疗进行隐睾的常规治疗。建议在6个月(矫正胎龄)开始,到12个月前,至少在18个月前完成隐睾的治疗,常见手术方式根据睾丸的位置等有不同方式,有睾丸下降固定术、分期睾丸下降固定术、睾丸自体移植术等,可进行开放手术或腹腔镜手术,促进睾丸归位。
参考文献
[1]李森恺主编.中华医学百科全书临床医学整形美容外科学[M].北京.中国协和医科大学出版社.2020.429.
[2]陈孝平,汪建平,赵继宗.外科学.第9版[M].北京.人民卫生出版社.2018.522.
[3]周祥福,湛海伦主编.泌尿外科图像解剖与诊断[M].广州:广东科技出版社.2018.09.273-274.
展开
