概述
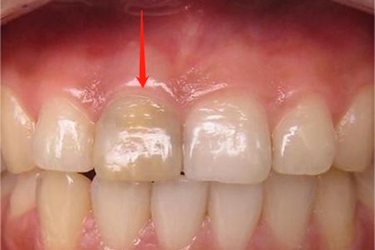
死髓牙患者检查可见患牙发黄,失去光泽,患者一般没有自觉症状,可能由外伤导致,需遵医嘱治疗。
症状
死髓牙患者一般没有自觉症状,仅以牙冠变色为主诉前来就诊。临床检查可以发现患牙发黄,失去光泽,部分患者牙冠存在深龋洞;有穿髓孔的患牙,探查穿髓孔无反应。


病因
死髓牙是由各种原因导致的牙髓组织死亡,常由各型牙髓炎发展而来,或因外伤导致牙髓血供突然中断而发生,修复材料等刺激有时也可能引起牙髓坏死。坏死的牙髓组织有利于细菌的定植,即所谓的引菌作用,因此它比健康牙髓更易于被细菌所感染。
治疗
死髓牙患者需遵医嘱治疗,年轻恒牙应遵医嘱做根管治疗,发育完成的恒牙也应做根管治疗。成人后牙可做牙髓塑化治疗。可自髓腔内进行脱色治疗,牙髓治疗后,可行牙冠修复。
参考文献
[1]樊明文主编.中华医学百科全书2临床医学口腔医学[M].北京.中国协和医科大学出版社.2018.41-42.
[2]北京医师协会组织编写.口腔科诊疗常规(临床医疗护理常规第二版)[M].北京.中国医药科技出版社.2020.31.
展开
