概述
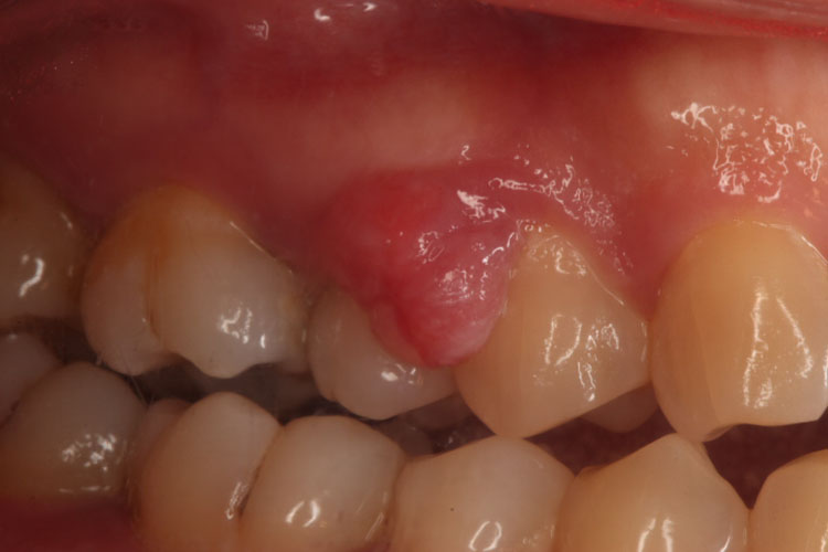
牙龈瘤是一种瘤样增生物,临床主要表现为牙龈乳头处的肿块,多呈圆球形或椭圆形。
牙龈瘤主要采用手术治疗,但去除刺激因素等基础治疗也同样重要。
症状
好发于牙龈乳头,肿块多呈圆球形或椭圆形,有时呈分叶状,直径由几毫米至1~2cm,带蒂者如息肉状,无蒂者基底较广。血管性和肉芽肿性牙龈瘤质软、色红,纤维性牙龈瘤质地硬而韧,色粉红。一般无痛,牙龈瘤生长较慢,较大肿块可被咬破而伴发溃疡、出血或感染,此时自觉有疼痛。



病因
一般认为牙龈瘤与牙菌斑、牙石、食物嵌塞或不良修复体等刺激因素引起,与机械性刺激和慢性炎症有关。
诊断
根据典型临床表现诊断并不困难,结合X线示牙周膜增宽、牙松动或移位,可做出诊断。病理检查有助于确诊牙龈瘤的类型。
治疗
去除刺激因素,如菌斑、牙石和不良修复体,在消除炎症后,进行手术切除。手术切除要彻底,防止复发。若牙龈瘤周围牙齿已松动,建议同时拔除,并去除所累及的牙周膜及邻近骨组织防止复发。
参考文献
[1]张志愿.口腔科学(9版)[M].北京:人民卫生出版社,2018:169.
[2]张志愿,俞光岩,等.口腔科学(8版)[M].北京:人民卫生出版社,2013:160.
[3]徐国权.口腔临床技术与临床实践[M]. 吉林科学技术出版社,2019:108-109.
[4]王旭霞,杨征,等.口腔科学[M]. 中国医药科技出版社,2016:58-59.
[5]孙正.口腔科诊疗常规[M].中国医药科技出版社,2012:47.
展开
