概述
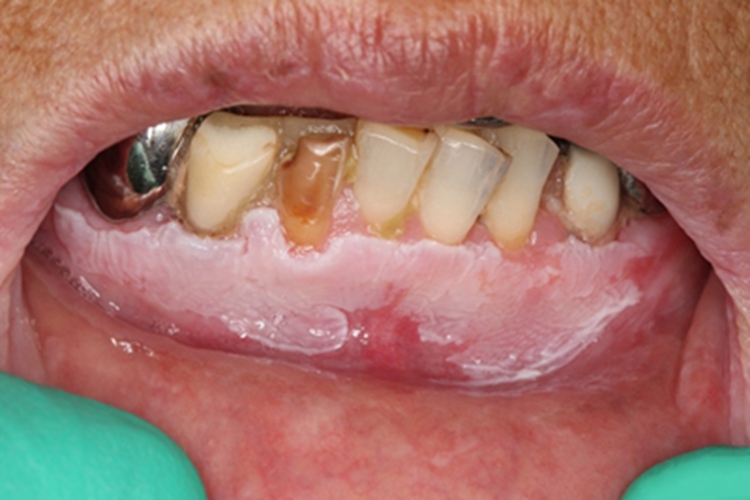
口腔白斑病可表现为牙龈处有大片皱纸状白斑,呈红白间杂的损害,有粗糙不适感。
该病主要与理化刺激因素有关,可遵医嘱应用药物进行治疗。
症状
口腔白斑病可表现为牙龈处有大片皱纸状白斑,呈红白间杂的损害,边界清楚,表面高低起伏,除粗糙不适感外,初起无明显自觉症状。

病因
口腔白斑病主要与理化刺激因素有关,如吸烟、乙醇等。其他诱发因素包括食用刺激性食物,咬颊、牙齿的残根、残冠刺伤黏膜等。可导致口腔上皮角化,基底出现异常增生,从而表现为在牙龈部位出现皱纸状白斑。
治疗
针对口腔白斑病牙龈皱纸状白斑的症状,患者可在医生指导下使用异维A酸软胶囊口服或维A酸乳膏局部外用,也可在医生的指导下口服维生素E,可单用或配合维生素A酸类药物治疗白斑。
日常生活中,患者应注意饮食调节,避免食用刺激、油腻、生冷、坚硬等刺激性食物,以免加重症状,多饮水,多吃新鲜的水果、蔬菜,有利于疾病的恢复。
参考文献
[1]李艳.实用皮肤科疾病诊断治疗[M].北京.科学技术文献出版社.2018.317.
[2]张秀果,崔怡主编.五官科疾病观察与护理技能[M].北京.中国医药科技出版社.2019.252.
展开
