概述
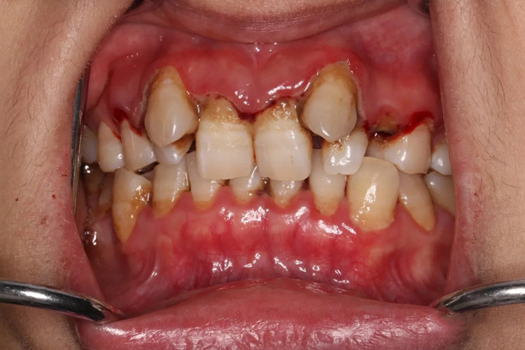
急性坏死性牙龈炎症状为口内有腐败臭味,牙龈发红、水肿,龈缘有灰黄色坏死组织。
急性坏死性牙龈炎是牙龈组织表皮坏死,上皮水肿、变性,毛细血管增生充血导致。
症状
急性坏死性牙龈炎症状为口内有特殊腐败恶臭味,牙龈发红、水肿,龈缘及龈乳头有灰黄色坏死组织,极易出血,前牙牙龈单个或多个乳头坏死时较为严重。

病因
当口腔卫生不良、机体抵抗力下降、组织代谢和血液循环减弱时,细菌在口腔内繁殖,有牙菌斑及炎症形成,可出现急性坏死性牙龈炎。牙龈组织表皮坏死,被纤维素、坏死的白细胞等取代,上皮水肿、变性,毛细血管增生充血,从而出现急性坏死性牙龈炎的一系列症状。
治疗
出现急性坏死性牙龈炎的症状时,需积极就医治疗,在医师指导下进行洁治治疗,去除大块牙石,并用抗菌药液含漱清除坏死组织,如复方氯己定含漱液。严重者还需口服抗厌氧菌药物进行抗菌治疗,如甲硝唑。
参考文献
[1]张志愿.口腔科学.第9版[M].北京.人民卫生出版社.2018,81.
[2]张震康,俞光岩,徐韬.实用口腔科学.第4版[M].北京.人民卫生出版社.2016,93-94.
展开
