概述
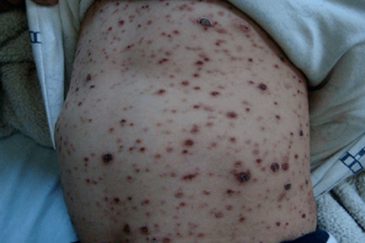
丘疹坏死性结核疹可发生在腹部,皮损为聚集成群的坚实丘疹,该病可能是体内结核的细菌性血栓导致,需遵医嘱进行抗结核治疗。
症状
丘疹坏死性结核疹可发生在腹部位置,皮损为2-8mm坚实的尖锐性丘疹,上面可有脓疱、坏死,中央呈小溃疡,聚集成群或散在性分布,逐渐结成暗红色血痂,有慢性炎症经过。

病因
丘疹坏死性结核疹可能是体内结核的细菌性血栓,经血流散播到皮肤所致。与结核分枝杆菌所引起的延迟过敏反应有关,体内多存在其他结核病灶。
治疗
丘疹坏死性结核疹的治疗方面,发现结核性感染灶时要遵医嘱应用抗结核治疗,抗生素软膏的局部应用可防止继发性感染,较重患者可使用氨苯砜或雷公藤,严重的病例可联合应用泼尼松。
参考文献
[1]方洪元,邢卫斌,张秉新,徐海环.实用皮肤性病手册.第1版[M].北京.人民卫生出版社.2016.109-110.
[2]虞瑞尧.皮肤病鉴别诊断彩色图谱.第1版[M].北京.人民军医出版社.2015.94.
展开
