概述
门牙内凹主要见于前牙反(牙合),需要根据具体情况选择矫正方式,主要有直接佩戴矫治器和拔牙后佩戴两类,过程有所差异。
矫正
门牙内凹的矫治尤为重要,因为前牙反(牙合)有随生长逐渐加重的趋势。矫治主要分为两种,即直接佩戴矫治器进行矫治和拔牙后佩戴矫治器矫治,介绍如下:
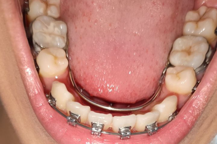
直接佩戴矫治器矫治:主要用于门牙内凹症状较轻,改变牙位和移动下颌的可能性都较大的患者,可直接采用矫治器进行矫治。如(牙合)垫式活动矫治器,矫治器舌侧根据需要设计双曲舌簧,加力推上颌前牙唇向移动,当反(牙合)解除并建立正常覆(牙合)与覆盖以后,可分次磨低(牙合)垫,每次磨去0.5-1mm厚度,直至全部磨除。需要上颌前牵引时,可在矫治器位于尖牙近中处伸出两个拉钩,牵引上颌向前。

拔牙后佩戴矫治器矫治:若前牙反(牙合)并伴有牙列拥挤症状,应在根据情况进行拔牙。以下颌前突为主要特征的恒牙早期前牙反(牙合),在正畸前需要拔牙。根据下颌前牙需要舌倾移动的量,决定拔除下颌第一或第二前磨牙关闭间隙,或者拔除下颌第二或第三磨牙,并利用种植钉作为支抗整体远中移动下颌牙列,从而促使牙列逐渐恢复正常。拔牙后,需佩戴矫治器矫正。


注意事项
在牙齿矫正之前,若患有牙周疾病,应在牙周疾病治疗痊愈之后进行,若牙周疾病未被控制时进行牙齿矫治,会加重牙周疾病,同时也会影响矫治效果。
在牙齿矫正过程中,要时刻关注矫正器是否牢固,有无脱落,减少进食较硬的东西,以免影响矫治效果。牙齿调整后,还需佩戴保持器,以免出现复发等情况,要改正容易导致牙齿畸形的不良生活习惯。
参考文献
[1] 赵志河.口腔正畸学.第7版[M].北京.人民卫生出版社.2020.188-189.
[2]张震康,俞光岩,徐韬.实用口腔科学.第4版[M].北京.人民卫生出版社.2016.478-480.
展开
