概述
死牙是指牙齿中含有血管和神经的牙髓组织发生坏死,临床可见牙齿变色、发黑,一般无自觉症状,需进行根管治疗。
症状
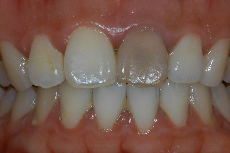
牙齿中含有血管和神经的牙髓组织坏死,称为死牙。患者一般没有自觉症状,仅以牙冠变色为主诉前来就诊。临床检查可以发现患牙牙冠存在深龋洞或其他牙体硬组织疾病,或是有充填体、深牙周袋等,或是牙冠有着重度的磨耗;牙冠变色,呈暗黄色或灰色,失去光泽;有穿髓孔的患牙,探查穿髓孔无反应;牙髓活力测验无反应。

病因
死牙是各种原因导致的牙髓组织死亡。常由各型牙髓炎发展而来,或因外伤导致牙髓血供突然中断而发生,修复材料等的刺激有时也可能引起牙髓坏死。坏死的牙髓组织有利于细菌的定植,即所谓的引菌作用,因此它比健康牙髓更易于被细菌所感染。牙髓坏死如不及时进行治疗,病变可向根尖周组织发展,导致根尖周炎。
治疗
死牙一旦确诊,治疗必须通过完善的根管治疗彻底去除坏死的牙髓,以免发生感染或感染向根尖周组织扩散。对于变色严重的患牙,可通过牙体修复的方法进行遮色处理。
参考文献
[1]张志愿.口腔科学.第9版[M].北京.人民卫生出版社.2018.56.
[2]周学东.牙体牙髓病学.第5版[M].北京.人民卫生出版社.2020.171.
[3]樊明文主编.中华医学百科全书.2.临床医学.口腔医学[M].北京.中国协和医科大学出版社.2018.41.
展开
