概述
手指头骨折应为指骨骨折,表现为局部肿胀、畸形、异常活动等,常因直接暴力引起,如砸伤、打击伤等,需给予复位、固定等治疗。
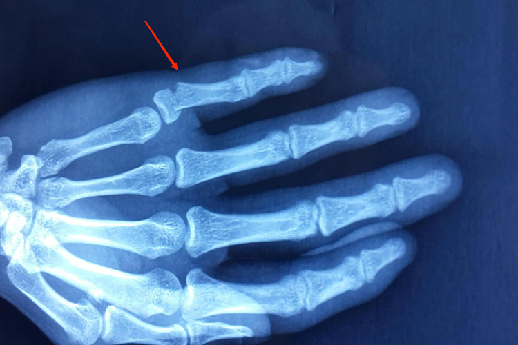
症状
手指头骨折应为指骨骨折,受伤后可有局部肿胀、疼痛、压痛、畸形、异常活动,以及骨擦音、骨擦感、纵向叩击痛等表现。由于骨间肌、蚓状肌、屈指肌、伸指肌的牵拉,中节指骨基部骨折,骨折端向背侧成角,而近节指骨及中节指骨浅屈肌附着点以远的骨折,骨折端向掌侧成角,指骨基底部撕脱骨折,手指末节下垂呈锤状,多经影像学检查发现。

病因
手指头骨折通常为直接暴力引起,如硬物的砸伤、机器的绞伤、挤压伤等,也有握拳后用力击打导致骨折,骨折面多为横断形、斜形、螺旋形等。
治疗
闭合性、稳定性指骨骨折原则上应该采用手法复位,并使用石膏托或铝板功能位固定。开放性的指骨骨折,无论创口情况和损伤的严重程度如何,均应立即复位,恢复患指血供,保护重要的血管神经,尽早修复撕裂的关节囊、韧带。常用的手部骨折固定方式有克氏针、微型钢板螺钉、微型外固定支架等。
参考文献
[1]陈孝平,汪建平,赵继宗.外科学.第9版[M].北京.人民卫生出版社.2018.647.
[2]姜虹.骨外科学 高级医师进阶.第1版[M].北京.中国协和医科大学出版社.2016.192.
展开
