概述
疱疹样皮炎可累及背部,出现分布不规则的红斑,大小不等,触摸皮肤凹凸不平,其病因尚未完全清楚,需遵医嘱治疗。
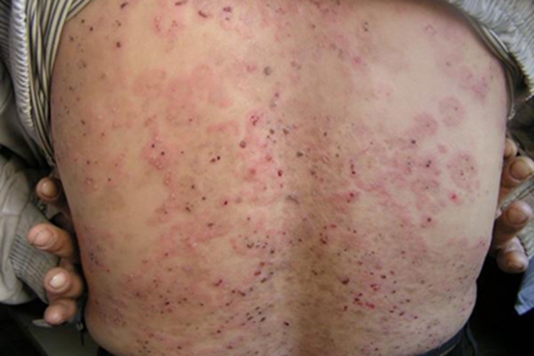
症状
疱疹样皮炎可累及背部,出现红斑,其分布不规则,严重时会泛发整个背部,甚至蔓延至全身,其大小不等,中间颜色减退,边缘隆起,触摸皮肤凹凸不平,在红斑隆起处多有皮肤破损,形成褐色或黑色的血痂。

病因
疱疹样皮炎病因尚未完全清楚,可能是一种和遗传易感性有关的免疫性疾病。患者常伴发谷胶敏感性肠病,通常在摄入谷胶或蛋白质后导致组织损伤。
治疗
疱疹样皮炎患者应严格限制谷胶摄入,除大米外许多食物含有谷胶,饮食限制至少6个月。可遵医嘱服用氨苯砜、柳氮磺吡啶等进行系统治疗,用药期间需多饮水,监测肾功能。同时可遵医嘱局部外用止痒药物以及抗生素,预防继发感染。
参考文献
[1]张建中,高兴华.皮肤性病学.第1版[M].北京.人民卫生出版社.2015.268-269.
[2]朴永君.皮肤性病学高级医师进阶.第1版[M].北京.中国协和医科大学出版社.2016.286.
展开
