概述
尘肺病患者可出现咳嗽、咳痰、胸痛、呼吸困难,以及喘息、咯血和全身症状等。
尘肺病主要是在职业活动中长期吸入不同致病性的生产性粉尘所致。
症状
尘肺病早期多无明显症状和体征,或有轻微症状,往往被患者忽视,肺功能也多无明显变化。随着病情的进展,逐渐出现以呼吸系统为主的症状,包括咳嗽、咳痰、胸痛、呼吸困难,以及喘息、咯血,并且可有不同程度的全身症状。
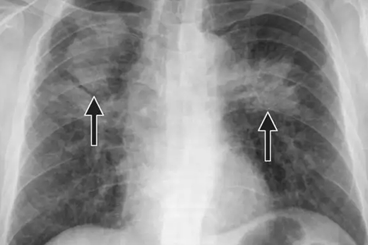
尘肺病典型X线表现为肺野有圆形小阴影,随病变发展小阴影逐渐增大、增多,密集度增高,分布范围也逐渐扩大乃至全肺,部分融合成大块状纤维。

病因
尘肺病病因明确,主要是在职业活动中长期吸入不同致病性的生产性粉尘,并在肺内沉积而引起的以肺组织弥漫性纤维化为主的病变。主要包括矽肺、煤工尘肺、石墨尘肺、炭黑尘肺、石棉肺、滑石尘肺、水泥尘肺、云母尘肺、陶工尘肺、铝尘肺、电焊工尘肺、铸工尘肺等尘肺病是在职业活动中长期吸入不同致病性的十二种。
治疗
在确诊尘肺病后,应立即脱离粉尘作业,此外还应戒烟,避免生活性粉尘,定期体检等。治疗上需积极开展综合治疗,可以在医生指导下应用沙丁胺醇吸入气雾剂、氨茶碱缓释片等平喘治疗,舍雷肽酶肠溶片等祛痰治疗,可待因、右美沙芬等镇咳治疗等。如合并呼吸道感染、气胸等,并发恶性肿瘤、呼吸衰竭等,均需在医生指导下积极治疗。
参考文献
[1]毛翎,彭莉君,王焕强.尘肺病治疗中国专家共识(2018年版)[J].环境与职业医学.2018.677-686.
[2]汪建荣.卫生法.第5版[M].北京.人民卫生出版社.2018.98.
展开
