概述
囊虫病可表现为皮下结节、癫痫发作、颅内压增高、视力障碍等症状。
囊虫病是由猪带绦虫的幼虫即猪囊尾蚴寄生于人体各组织器官所致的疾病。
症状
人体囊虫病根据主要寄生部位可分为以下三类:
皮下及肌肉囊虫病:皮下结节数可从1个至数千个不等。结节在皮下呈圆形或椭圆形,直径约0.5-1.5cm,硬度近似软骨,手可触及,与皮下组织无粘连,无压痛,无炎症反应及色素沉着。常分批出现,并可自行逐渐消失。感染轻时可无症状。寄生数量多时,可自觉肌肉酸痛无力、发胀,麻木或呈假性肌肥大症等。

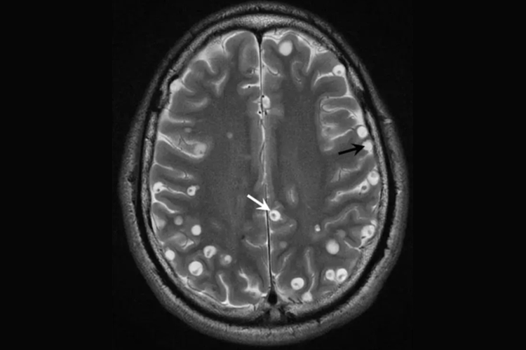
脑囊虫病:脑囊虫病的三大主要症状是癫痫发作、颅内压增高和精神症状。囊尾蚴寄生于脑实质、蛛网膜下隙和脑室,均可引起颅内压增高、神经疾患和脑血流障碍,其症状有记忆力减退,视力下降,头痛、头晕,呕吐,神志不清,失语,肢体麻木,局部抽搐,听力障碍,精神障碍,痴呆,偏瘫和失明等,脑囊虫病合并脑炎可使病变加重而致死亡。

眼囊虫病:囊尾蚴可寄生在眼的任何部位,通常累及单眼,少数双眼同时有囊尾蚴寄生。症状轻者表现为视力障碍。囊尾蚴死亡后,虫体的分解物可产生强烈刺激,造成眼内组织变性,导致玻璃体浑浊,视网膜脱离,视神经萎缩,并发白内障,继发青光眼、细菌性眼内炎等最终导致眼球萎缩而失明。

病因
囊虫病是由猪带绦虫的幼虫即猪囊尾蚴寄生于人体各组织器官所致的疾病。囊尾蚴最常寄生于人体的肌肉、皮下组织、脑和眼,从而引起相应部位的症状。猪带绦虫病患者是囊虫病的唯一传染源,患者粪便排出的虫卵对自身和周围人群均具有传染性。
治疗
囊肿病的治疗包括病原治疗、对症治疗和手术治疗。
病原治疗:抗囊尾蚴的主要药物有阿苯达唑和吡喹酮。
对症治疗:颅内压增高者应予甘露醇、地塞米松治疗。癫痫发作频繁者,除上述处理外,可酌情用安定、异戊巴比妥钠及苯妥英钠等药物。
手术治疗:发作频繁的癫痫或颅内压增高者、眼囊虫病患者必要时可行手术治疗。
参考文献
[1]王贵强.感染科诊疗常规[M].北京:中国医药科技出版社,2020.04.141-142.
[2]刘德培.中华医学百科全书中医内科学[M].北京:中国协和医科大学出版社,2019.07.120.
