概述
钙是组成牙齿的重要成分,儿童缺钙牙齿容易患龋齿,影响牙齿质量。主要表现为牙齿排列不齐、萌出延迟、牙齿松动等症状。
症状
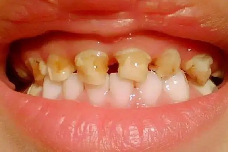
儿童在牙齿发育过程中缺钙,容易导致牙齿出现排列参差不齐或上、下牙不对缝,或者是咬合不正、牙齿松动,以及容易崩折、过早脱落、牙釉质发育不全等症状。



病因
人体钙的来源全部依赖于经口摄入,包括食物、强化食品、药物、营养补充剂等来源的钙,钙的生物利用包括钙的摄入、吸收、排泄三个过程,这三个过程出现问题,都可能会导致儿童缺钙,使儿童的牙齿出现问题。
治疗
若儿童出现缺钙情况,应及时补钙,可以从膳食中补充钙元素,如奶类,奶类是儿童期最主要的钙源,也是最好的钙源。若儿童仅靠膳食难以满足对钙的需求,可以在医生指导下选择钙含量多、胃肠易吸收、安全性高、口感好、服用方便的钙制剂。补钙的同时应注意促进钙吸收和钙代谢的维生素D、维生素K的补充,以及微量营养素铁、锌的补充。
参考文献
[1]张志愿.口腔科学.第9版[M].北京.人民卫生出版社.2018.236.
[2]张震康,俞光岩,徐韬.实用口腔科学.第4版[M].北京.人民卫生出版社.2016.50.
[3]王新良主编.儿科医生教您带婴儿[M].金盾出版社.2015.136.
[4]秦锐.中国儿童钙营养专家共识(2019年版)[J].中国妇幼健康研究,2019,30(3):8.262.267.
[5]孙长颢.营养与食品卫生学.第8版[M].北京.人民卫生出版社.2017.60.
展开
