概述
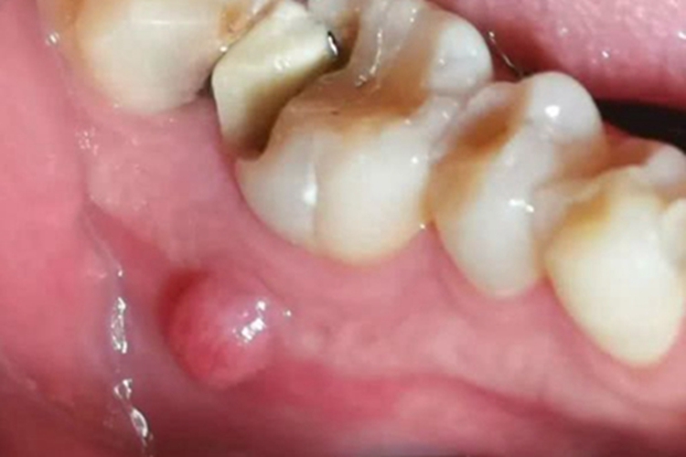
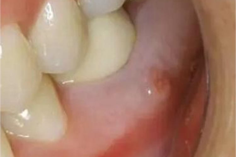
慢性根尖周炎可表现为患牙咀嚼不适,牙龈起脓疱,可见牙龈处隆起。该病与根管内长期存在感染相关,主要遵医嘱采用根管治疗。
症状
慢性根尖周炎可表现为患牙咀嚼不适,牙龈起脓疱,可见牙龈处隆起,呈半球状,有乒乓球样感,富有弹性。患者多有反复肿痛史,一般牙不松动,可有扪诊疼痛感。


病因
慢性根尖周炎是指因根管内长期存在感染,如龋病、牙髓病等,以及病原刺激物而导致的根尖周围组织慢性炎症反应。
治疗
对于慢性根尖周炎的治疗,主要是遵医嘱采用根管治疗,可使牙齿功能恢复和保存,必要时可行根尖切除术或根尖刮治术。
如患牙牙体缺损较大不能修复者,最后可给予拔除,需要注意的是,以上治疗需要在专业医生操作下进行。
参考文献
[1]张志愿.口腔科学.第9版[M].北京.人民卫生出版社.2018.57.
[2]周学东.牙体牙髓病学.第5版[M].北京.人民卫生出版社.2020.185.
[3]任成山,王甲汉,牛广政,等.现代临床疾病防治学;下册.第1版[M].郑州.郑州大学出版社.2012.2084.
展开
