概述
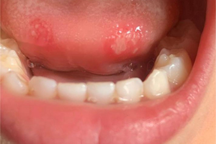
小儿口疮症状表现为溃疡,其溃烂面中间呈凹坑状、大小不等、颜色发白,有明显疼痛感。
小儿口疮的发生可能与血少气弱、喂养不当等因素有关,需遵医嘱使用药物治疗。
症状
小儿口疮患者口腔黏膜局部可出现大小不一、数量不等的溃疡,向内凹陷为坑状,表面及其周围充血、红肿,溃疡面发白、潮湿,自觉有剧烈的疼痛,进食时疼痛可加剧。

病因
小儿口疮的病因既有外因,也有内因,内因主要是婴幼儿血少气弱,黏膜柔嫩,不耐邪热熏灼或久病体虚而易于患本病;外因则是由于平素调护失宜、喂养不当或感受外邪等。
治疗
小儿口疮的治疗以清热降火为基本法则,可遵医嘱使用相应的药物治疗,如起病急,伴发热、咽喉肿痛,舌质红,苔薄黄,常用银翘散加减。如果面赤唇红,大便秘结,常用凉膈散加减。如果舌质红赤,舌体溃疡多,疼痛较剧,心烦啼哭,小便短赤,常用泻心导赤散加减。如口舌溃疡散发,色淡,反复出现或迁延不愈,常用知柏地黄丸加肉桂。
另外,也可遵医嘱应用小儿豉翘清热颗粒、黄栀花口服液等中成药进行治疗,并局部应用开喉剑喷雾剂、冰硼散等进行治疗,推拿疗法对该病也有一定疗效。
参考文献
[1]姜之炎,赵霞.中医儿科学.第2版[M].上海.上海科学技术出版社.2020.84-87.
[2]张迎春,张花.中医妇儿诊疗常规[M].武汉.华中科学技术大学出版社.2021.111-113.
展开
