概述
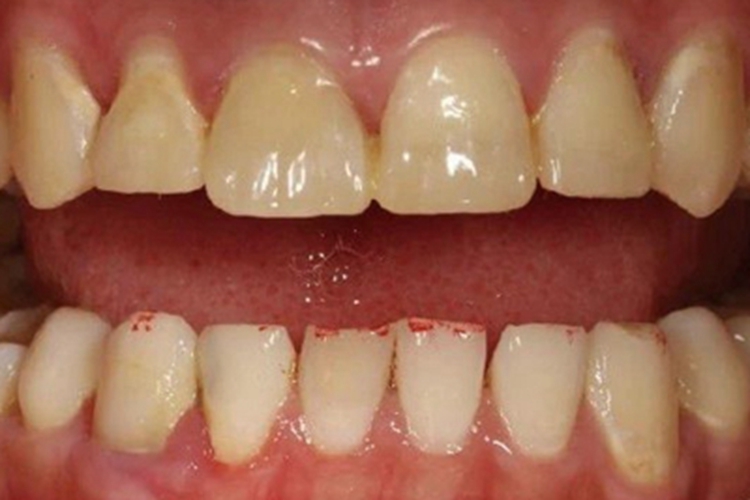
酸蚀症的损害可发生在牙齿,临床上可表现为患者的牙齿发生缺损变的不平整。
该症状由腐蚀牙釉质导致,患者可在医生指导下进行一般治疗与药物治疗。
症状
酸蚀症的损害可发生在牙齿,临床上可表现为患者的牙齿发生缺损变的不平整。部分患者仅牙齿尖端凹凸不平,有少量骨质缺失,部分患者可见缺损处出现黄褐色或红褐色的斑点。

病因
当患者长期接触外源性酸性物质,如可乐、果汁等酸性饮料,会破坏前牙唇面、 腐蚀牙釉质,进而导致牙齿发生缺损变的不平整。
治疗
患者可在医生指导下进行一般治疗与药物治疗。
一般治疗:患者要注意进行牙齿保护,养成早晚刷牙,饭前饭后漱口的良好习惯,少进食酸性饮食,积极治疗消化系统疾病;
药物治疗:可以通过在牙齿表面涂抹氟制剂保护牙釉质,避免酸对牙齿的腐蚀。
参考文献
[1]张志愿.口腔科学.第9版[M].北京.人民卫生出版社.2018.49.
[2]张震康,俞光岩,徐韬.实用口腔科学.第4版[M].北京.人民卫生出版社.2016.39-40.
展开
