概述
疱疹样皮炎可累及腹部,出现红斑、丘疹等皮损表现,伴有瘙痒,可因过度搔抓导致局部破溃结痂,病因不清,建议就医治疗。
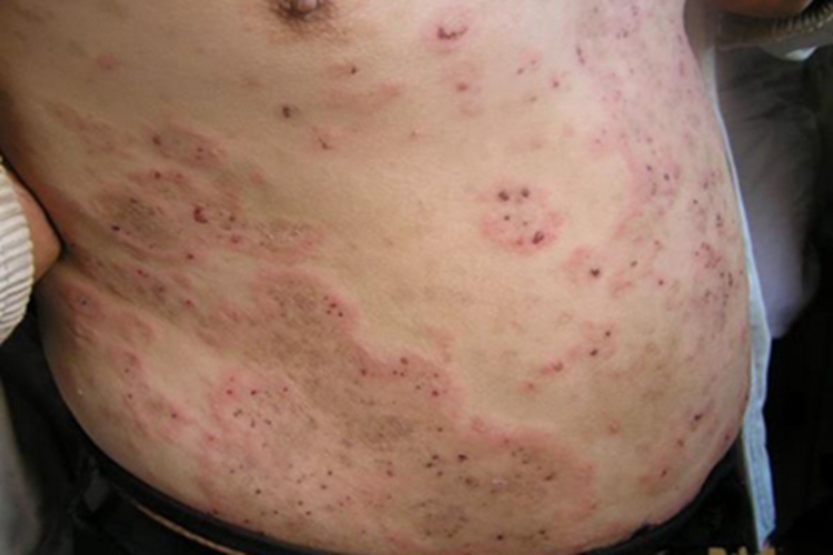
症状
疱疹样皮炎可发生在腹部,呈多形性,表现为红斑、丘疹、风团等,常聚集成群或者排列成环形,患者自觉剧痒,搔抓使局部破溃后可留下糜烂和结痂,另外还可伴有烧灼感或疼痛感。


病因
疱疹样皮炎病因尚未完全清楚,可能是一种和遗传易感性有关的免疫性疾病。患者常伴发谷胶敏感性肠病,通常在摄入谷胶或蛋白质后导致组织损伤。
治疗
疱疹样皮炎患者应严格限制谷胶摄入,除大米外许多食物含有谷胶,饮食限制至少6个月。另外,可遵医嘱服用氨苯砜、柳氮磺吡啶等进行系统治疗,用药期间需多饮水,监测肾功能。同时可局部外用止痒药物以及抗生素,预防继发感染。
参考文献
[1]张建中,高兴华.皮肤性病学.第1版[M].北京.人民卫生出版社.2015.268-269.
[2]朴永君.皮肤性病学高级医师进阶.第1版[M].北京.中国协和医科大学出版社.2016.286.
展开
