概述
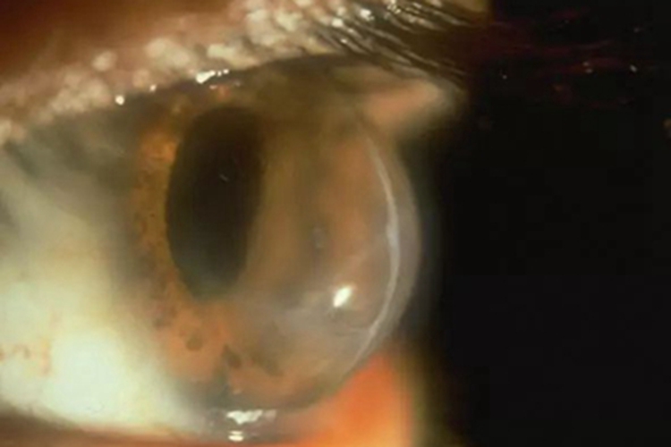
圆锥角膜可导致眼球角膜有异常的变形、突出,整体类似圆锥形,角膜混浊,透明度降低。
本病的发生可能与全身疾病、生理状态因素、眼部因素等有关,需遵医嘱治疗。
症状
圆锥角膜可导致眼球的角膜中央或旁中央有异常的变形、突出,使角膜呈顶端厚、边缘薄的外观,整体类似圆锥形。同时角膜可有不同程度的混浊,透明度降低,并引起不规则散光以及高度近视,可有严重的视力下降。

病因
圆锥角膜的发生可能与全身疾病、生理状态因素(如唐氏综合征、结缔组织疾病、妊娠等)、眼部因素(如长期揉眼、过敏性结膜炎、眼睑松弛综合征)等有关。
治疗
圆锥角膜患者出现眼球突出、变形时,可在医生指导下配戴框架眼镜、硬性角膜接触镜矫正视力。视力矫正效果不佳或无效时,需遵医嘱进行穿透性角膜移植术、深板层角膜移植术等手术治疗,使患者的视力得到改善。
日常应注意定期到医院复查,使用硬性角膜接触镜矫正视力时,应注意每日清洗、定期更换,以免诱发眼部感染,不利于疾病症状的恢复。
参考文献
[1]杨培增,范先群.眼科学(第9版)[M].北京.人民卫生出版社.2018:124-125.
[2]杨文利.临床眼超声诊断学[M].北京.科学技术文献出版社.2019:173.
展开
